产品中心 Products Center
SMYD3 (DGR14770) Rabbit mAb
Alternate Text
db11743
Datasheet

Product Name : SMYD3 (DGR14770) Rabbit mAb

Cat.No.: db11743

Synonyms : KMT3E; ZMYND1; ZNFN3A1; bA74P14.1

Application : WB, IHC-P, ICC/IF, FC, IP

Reactivity : Human,Mouse,Rat

Host species : Rabbit

  • Background This gene encodes a histone methyltransferase which functions in RNA polymerase II complexes by an interaction with a specific RNA helicase. Multiple transcript variants encoding different isoforms have been found for this gene. [provided by RefSeq, Dec 2011]
  • Immunogen A synthetic peptide of human SMYD3
  • Gene ID 64754
  • Swiss Prot Q9H7B4
  • Synonyms KMT3E; ZMYND1; ZNFN3A1; bA74P14.1
  • Reactivity Human,Mouse,Rat
  • Application WB, IHC-P, ICC/IF, FC, IP
  • Recommended dilution WB: 1:1000-1:10000
    IHC-P: 1:100
    ICC/IF: 1:100-1:200
    FC: 1:20-1:50
    IP: 1:50
  • Calculated MW 49 kDa
  • Observed MW 49 kDa
  • Host species Rabbit
  • Clonality Monoclonal
  • Clonality No. DGR14770
  • Isotype IgG
  • Purity Affinity Purification
  • Conjugation Un-conjugated
  • Storage/Stability Store at -20°C. Supplied in 50mM Tris-Glycine(pH 7.4), 0.15M NaCl, 40% Glycerol, 0.01% sodium azide and 0.05% BSA. Stable for 12 months from date of receipt.
  • Western blot detection of SMYD3 in Jurkat,Hela cell lysates using SMYD3 antibody(1:1000 diluted).
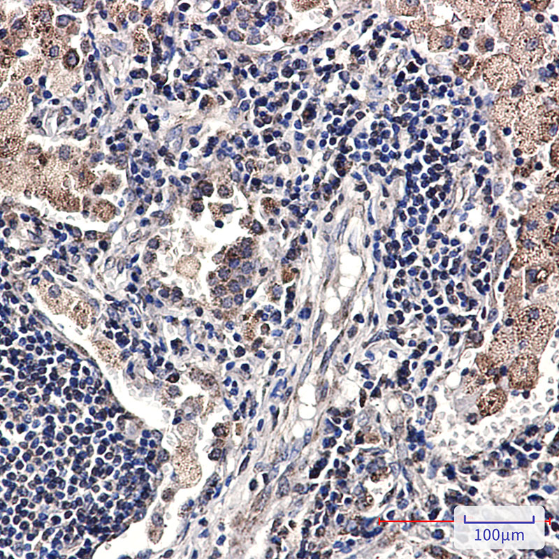
  • Immunohistochemical analysis of paraffin-embedded human lung cancer tissue using db11743 antibody.
  • Immunofluorescent analysis of K562 cells using db11743 antibody (green), and DAPI (blue).
订购信息
  • Package Price (RMB)
  • 10μL 398
  • 20μL 698
  • 50μL 1398
  • 100μL 2398
  • 货期:现货
For research use only. Not intended for diagnostic.