产品中心 Products Center
SF3B1 (DGR31370) Rabbit mAb
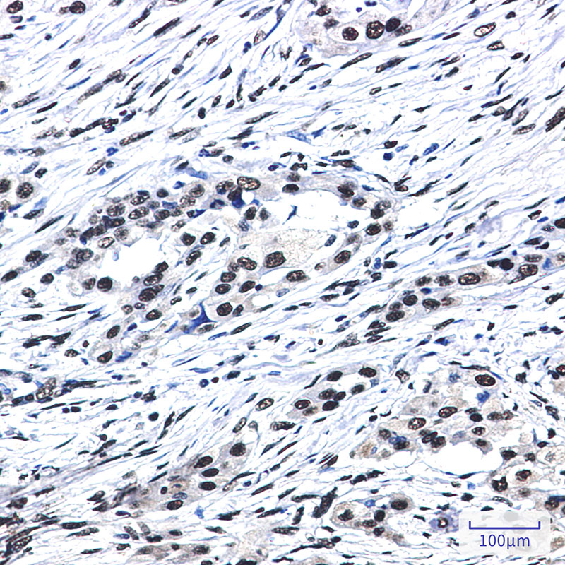
Alternate Text
db11801
Datasheet

Product Name : SF3B1 (DGR31370) Rabbit mAb

Cat.No.: db11801

Synonyms : MDS; PRP10; Hsh155; PRPF10; SAP155; SF3b155

Application : WB, IHC-P, ICC/IF, FC

Reactivity : Human,Mouse,Rat

Host species : Rabbit

  • Background This gene encodes subunit 1 of the splicing factor 3b protein complex. Splicing factor 3b, together with splicing factor 3a and a 12S RNA unit, forms the U2 small nuclear ribonucleoproteins complex (U2 snRNP). The splicing factor 3b/3a complex binds pre-mRNA upstream of the intron's branch site in a sequence independent manner and may anchor the U2 snRNP to the pre-mRNA. Splicing factor 3b is also a component of the minor U12-type spliceosome. The carboxy-terminal two-thirds of subunit 1 have 22 non-identical, tandem HEAT repeats that form rod-like, helical structures. Alternative splicing results in multiple transcript variants encoding different isoforms. [provided by RefSeq, Jul 2008]
  • Immunogen A synthetic peptide of human SF3B1
  • Gene ID 23451
  • Swiss Prot O75533
  • Synonyms MDS; PRP10; Hsh155; PRPF10; SAP155; SF3b155
  • Reactivity Human,Mouse,Rat
  • Application WB, IHC-P, ICC/IF, FC
  • Recommended dilution WB: 1:1000-1:5000
    IHC-P: 1:100-1:200
    ICC/IF: 1:200-1:500
    FC: 1:200-1:2000
  • Calculated MW 146 kDa
  • Observed MW 155 kDa
  • Host species Rabbit
  • Clonality Monoclonal
  • Clonality No. DGR31370
  • Isotype IgG
  • Purity Affinity Purification
  • Conjugation Un-conjugated
  • Storage/Stability Store at -20°C. Supplied in 50mM Tris-Glycine(pH 7.4), 0.15M NaCl, 40% Glycerol, 0.01% sodium azide and 0.05% BSA. Stable for 12 months from date of receipt.
  • Western blot detection of SF3B1 in Hela,CHO-K1,C6,Ramos using SF3B1 antibody(1:1000 diluted)
  • Immunohistochemical analysis of paraffin-embedded human lung cancer using db11801 antibody.
  • Immunofluorescent analysis of 293T cells using db11801 antibody (green), and DAPI (blue).
订购信息
  • Package Price (RMB)
  • 10μL 398
  • 20μL 698
  • 50μL 1398
  • 100μL 2398
  • 货期:现货
For research use only. Not intended for diagnostic.