产品中心 Products Center
SH3PX1 (DGR20112) Rabbit mAb
Alternate Text
db12469
Datasheet

Product Name : SH3PX1 (DGR20112) Rabbit mAb

Cat.No.: db12469

Synonyms : SDP1; WISP; SH3PX1; SH3PXD3A

Application : WB, IHC-P, ICC/IF, FC, IP

Reactivity : Human,Mouse,Rat

Host species : Rabbit

  • Background This gene encodes a member of the sorting nexin family. Members of this family contain a phosphoinositide binding domain, and are involved in intracellular trafficking. The encoded protein does not contain a coiled coil region, like some family members, but does contain a SRC homology domain near its N-terminus. The encoded protein is reported to have a variety of interaction partners, including of adaptor protein 2 , dynamin, tyrosine kinase non-receptor 2, Wiskott-Aldrich syndrome-like, and ARP3 actin-related protein 3. The encoded protein is implicated in several stages of intracellular trafficking, including endocytosis, macropinocytosis, and F-actin nucleation. [provided by RefSeq, Jul 2013]
  • Immunogen Recombinant protein of human SH3PX1
  • Gene ID 51429
  • Swiss Prot Q9Y5X1
  • Synonyms SDP1; WISP; SH3PX1; SH3PXD3A
  • Reactivity Human,Mouse,Rat
  • Application WB, IHC-P, ICC/IF, FC, IP
  • Recommended dilution WB: 1:1000-1:5000
    IHC-P: 1:100-1:200
    ICC/IF: 1:100
    FC: 1:10-1:100
    IP: 1:50
  • Calculated MW 67 kDa
  • Observed MW 67 kDa
  • Host species Rabbit
  • Clonality Monoclonal
  • Clonality No. DGR20112
  • Isotype IgG
  • Purity Affinity Purification
  • Conjugation Un-conjugated
  • Storage/Stability Store at -20°C. Supplied in 50mM Tris-Glycine(pH 7.4), 0.15M NaCl, 40% Glycerol, 0.01% sodium azide and 0.05% BSA. Stable for 12 months from date of receipt.
  • Western blot detection of SH3PX1 in K562,Hela cell lysates using SH3PX1 antibody(1:1000 diluted).
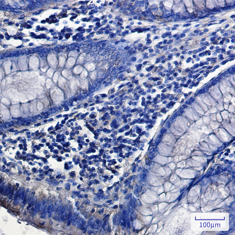
  • Immunohistochemical analysis of paraffin-embedded human colon cancer using db12469 antibody.
  • Immunofluorescent analysis of HeLa cells using db12469 antibody (green), and DAPI (blue).
订购信息
  • Package Price (RMB)
  • 10μL 398
  • 20μL 698
  • 50μL 1398
  • 100μL 2398
  • 货期:现货
For research use only. Not intended for diagnostic.