产品中心 Products Center
PELP1 (DGR21082) Rabbit mAb
Alternate Text
db13098
Datasheet

Product Name : PELP1 (DGR21082) Rabbit mAb

Cat.No.: db13098

Synonyms : MNAR; P160

Application : WB, IHC-P, ICC/IF, FC

Reactivity : Human

Host species : Rabbit

  • Background This gene encodes a transcription factor which coactivates transcription of estrogen receptor responsive genes and corepresses genes activated by other hormone receptors or sequence-specific transcription factors. Expression of this gene is regulated by both members of the estrogen receptor family. This gene may be involved in the progression of several types of cancer. Alternative splicing results in multiple transcript variants. [provided by RefSeq, May 2013]
  • Immunogen A synthetic peptide of human PELP1
  • Gene ID 27043
  • Swiss Prot Q8IZL8
  • Synonyms MNAR; P160
  • Reactivity Human
  • Application WB, IHC-P, ICC/IF, FC
  • Recommended dilution WB: 1:1000
    IHC-P: 1:200-1:2000
    ICC/IF: 1:500-1:2000
    FC: 1:200-1:500
  • Calculated MW 120 kDa
  • Observed MW 160 kDa
  • Host species Rabbit
  • Clonality Monoclonal
  • Clonality No. DGR21082
  • Isotype IgG
  • Purity Affinity Purification
  • Conjugation Un-conjugated
  • Storage/Stability Store at -20°C. Supplied in 50mM Tris-Glycine(pH 7.4), 0.15M NaCl, 40% Glycerol, 0.01% sodium azide and 0.05% BSA. Stable for 12 months from date of receipt.
  • Western blot detection of PELP1 in Hela,MCF-7,HepG2 using PELP1 antibody(1:1000 diluted)
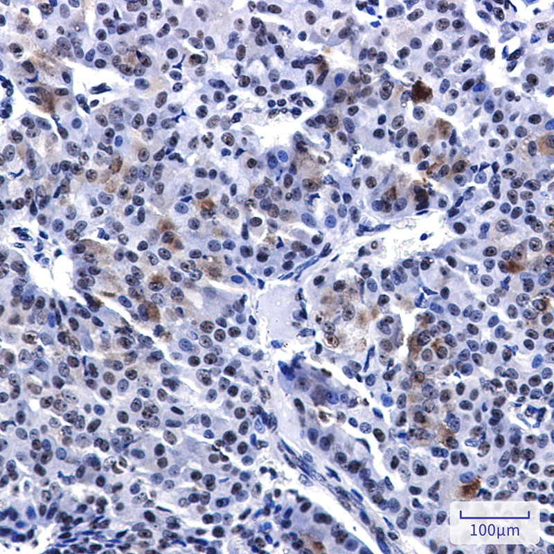
  • Immunohistochemical analysis of paraffin-embedded human breast cancer tissue using db13098 antibody.
  • Immunofluorescent analysis of HeLa cells using db13098 antibody (green), and DAPI (blue).
订购信息
  • Package Price (RMB)
  • 10μL 398
  • 20μL 698
  • 50μL 1398
  • 100μL 2398
  • 货期:现货
For research use only. Not intended for diagnostic.