产品中心 Products Center
UFM1 (DGR11381) Rabbit mAb
Alternate Text
db13504
Datasheet

Product Name : UFM1 (DGR11381) Rabbit mAb

Cat.No.: db13504

Synonyms : BM-002; C13orf20

Application : WB, IHC-P, IP

Reactivity : Human,Mouse,Rat

Host species : Rabbit

  • Background UFM1 is a ubiquitin-like protein that is conjugated to target proteins by E1-like activating enzyme UBA5 (UBE1DC1; MIM 610552) and E2-like conjugating enzyme UFC1 (MIM 610554) in a manner analogous to ubiquitylation (see UBE2M; MIM 603173) (Komatsu et al., 2004 [PubMed 15071506]).[supplied by OMIM, Dec 2008]
  • Immunogen A synthetic peptide of human UFM1
  • Gene ID 51569
  • Swiss Prot P61960
  • Synonyms BM-002; C13orf20
  • Reactivity Human,Mouse,Rat
  • Application WB, IHC-P, IP
  • Recommended dilution WB: 1:1000
    IHC-P: 1:200-1:1000
    IP: 1:10-1:50
  • Calculated MW 9 kDa
  • Observed MW 9 kDa
  • Host species Rabbit
  • Clonality Monoclonal
  • Clonality No. DGR11381
  • Isotype IgG
  • Purity Affinity Purification
  • Conjugation Un-conjugated
  • Storage/Stability Store at -20°C. Supplied in 50mM Tris-Glycine(pH 7.4), 0.15M NaCl, 40% Glycerol, 0.01% sodium azide and 0.05% BSA. Stable for 12 months from date of receipt.
  • Western blot detection of UFM1 in Jurkat cell lysates using UFM1 antibody(1:1000 diluted).
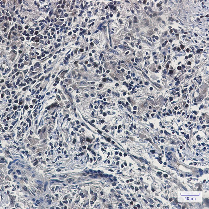
  • Immunohistochemical analysis of paraffin-embedded human lung cancer using db13504 antibody.
订购信息
  • Package Price (RMB)
  • 10μL 398
  • 20μL 698
  • 50μL 1398
  • 100μL 2398
  • 货期:现货
For research use only. Not intended for diagnostic.