产品中心 Products Center
SCD1 (DGR15994) Rabbit mAb
Alternate Text
db13803
Datasheet

Product Name : SCD1 (DGR15994) Rabbit mAb

Cat.No.: db13803

Synonyms : FADS5; SCDOS; hSCD1; MSTP008

Application : WB, IHC-P, ICC/IF, FC, IP

Reactivity : Human,Mouse,Rat

Host species : Rabbit

  • Background This gene encodes an enzyme involved in fatty acid biosynthesis, primarily the synthesis of oleic acid. The protein belongs to the fatty acid desaturase family and is an integral membrane protein located in the endoplasmic reticulum. Transcripts of approximately 3.9 and 5.2 kb, differing only by alternative polyadenlyation signals, have been detected. A gene encoding a similar enzyme is located on chromosome 4 and a pseudogene of this gene is located on chromosome 17. [provided by RefSeq, Sep 2015]
  • Immunogen Recombinant protein of human SCD1
  • Gene ID 6319
  • Swiss Prot O00767
  • Synonyms FADS5; SCDOS; hSCD1; MSTP008
  • Reactivity Human,Mouse,Rat
  • Application WB, IHC-P, ICC/IF, FC, IP
  • Recommended dilution WB: 1:1000
    IHC-P: 1:200-1:2000
    ICC/IF: 1:100
    FC: 1:200-1:500
    IP: 1:20-1:50
  • Calculated MW 42 kDa
  • Observed MW 37 kDa
  • Host species Rabbit
  • Clonality Monoclonal
  • Clonality No. DGR15994
  • Isotype IgG
  • Purity Affinity Purification
  • Conjugation Un-conjugated
  • Storage/Stability Store at -20°C. Supplied in 50mM Tris-Glycine(pH 7.4), 0.15M NaCl, 40% Glycerol, 0.01% sodium azide and 0.05% BSA. Stable for 12 months from date of receipt.
  • Western blot detection of SCD1 in Hela cell lysates using SCD1 antibody(1:1000 diluted).
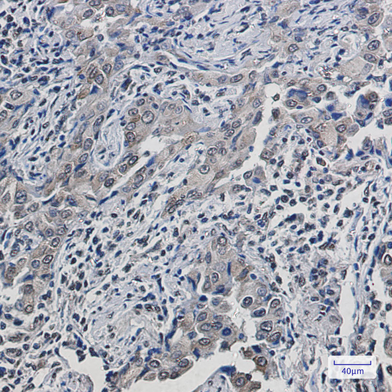
  • Immunohistochemical analysis of paraffin-embedded human lung cancer using db13803 antibody.
  • Immunofluorescent analysis of HeLa cells using db13803 antibody (green), and DAPI (blue).
订购信息
  • Package Price (RMB)
  • 10μL 398
  • 20μL 698
  • 50μL 1398
  • 100μL 2398
  • 货期:现货
For research use only. Not intended for diagnostic.