产品中心 Products Center
HCE (DGR33472) Rabbit mAb
Alternate Text
db14478
Datasheet

Product Name : HCE (DGR33472) Rabbit mAb

Cat.No.: db14478

Synonyms : HCE; HCE1; hCAP; CAP1A

Application : WB, IHC-P, ICC/IF, IP

Reactivity : Human,Mouse,Rat

Host species : Rabbit

  • Background Bifunctional mRNA-capping enzyme exhibiting RNA 5'-triphosphatase activity in the N-terminal part and mRNA guanylyltransferase activity in the C-terminal part
  • Immunogen Recombinant protein of human HCE
  • Gene ID 8732
  • Swiss Prot O60942
  • Synonyms HCE; HCE1; hCAP; CAP1A
  • Reactivity Human,Mouse,Rat
  • Application WB, IHC-P, ICC/IF, IP
  • Recommended dilution WB: 1:1000
    IHC-P: 1:100-1:200
    ICC/IF: 1:200-1:500
    IP: 1:50
  • Calculated MW 69 kDa
  • Observed MW 69 kDa
  • Host species Rabbit
  • Clonality Monoclonal
  • Clonality No. DGR33472
  • Isotype IgG
  • Purity Affinity Purification
  • Conjugation Un-conjugated
  • Storage/Stability Store at -20°C. Supplied in 50mM Tris-Glycine(pH 7.4), 0.15M NaCl, 40% Glycerol, 0.01% sodium azide and 0.05% BSA. Stable for 12 months from date of receipt.
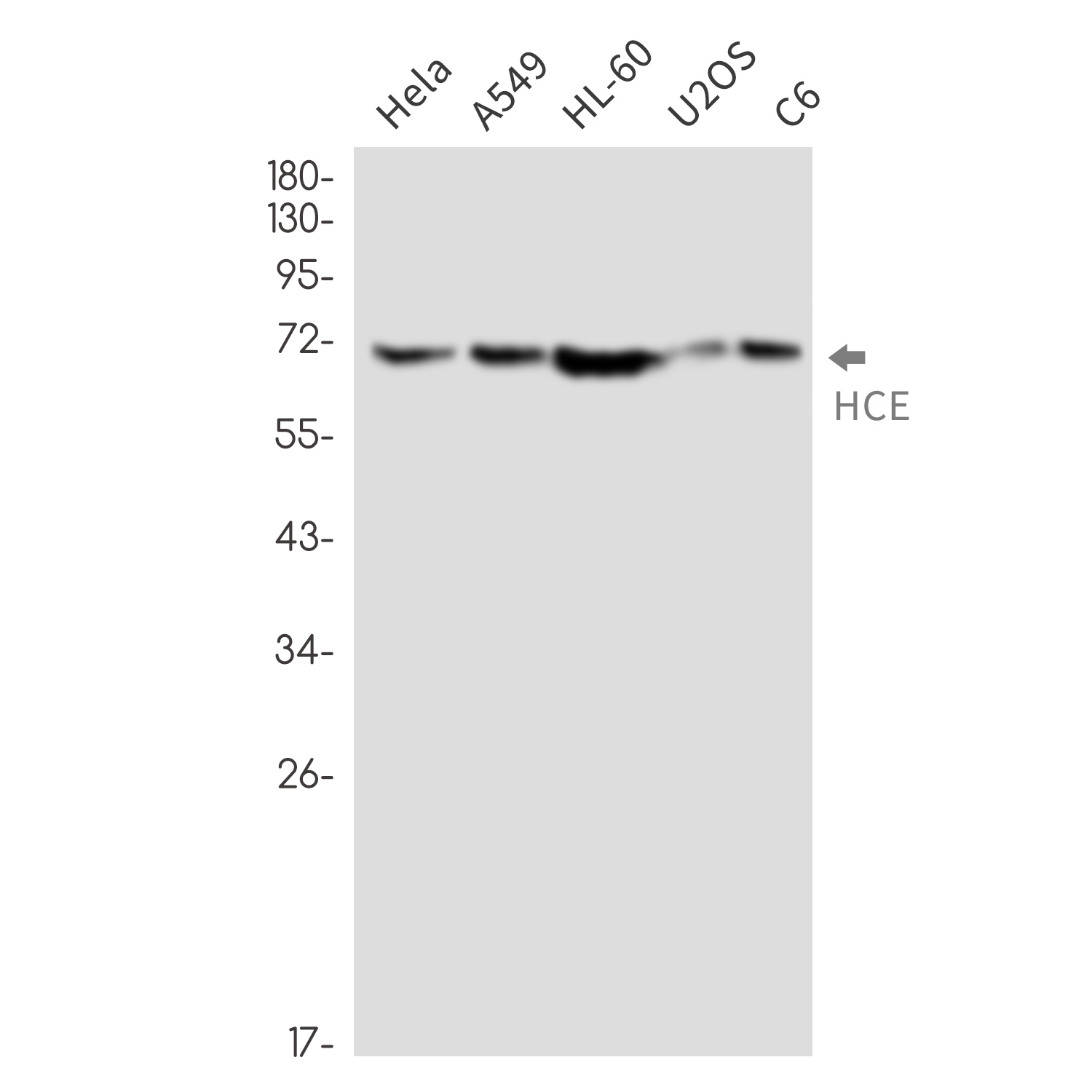
  • Western blot detection of HCE in Hela,A549,HL-60,U2OS,C6 cell lysates using HCE antibody(1:1000 diluted).
  • Immunofluorescent analysis of MCF-7 cells using db14478 antibody (green), and DAPI (blue).
订购信息
  • Package Price (RMB)
  • 10μL 398
  • 20μL 698
  • 50μL 1398
  • 100μL 2398
  • 货期:现货
For research use only. Not intended for diagnostic.