产品中心 Products Center
Semaphorin 7A (DGR20676) Rabbit mAb
Alternate Text
db14643
Datasheet

Product Name : Semaphorin 7A (DGR20676) Rabbit mAb

Cat.No.: db14643

Synonyms : JMH; CD108; SEMAL; CDw108; SEMAK1; H-Sema-L; H-SEMA-K1

Application : WB, IHC-P, FC, IP

Reactivity : Human

Host species : Rabbit

  • Background This gene encodes a member of the semaphorin family of proteins. The encoded preproprotein is proteolytically processed to generate the mature glycosylphosphatidylinositol (GPI)-anchored membrane glycoprotein. The encoded protein is found on activated lymphocytes and erythrocytes and may be involved in immunomodulatory and neuronal processes. The encoded protein carries the John Milton Hagen (JMH) blood group antigens. Mutations in this gene may be associated with reduced bone mineral density (BMD). Alternative splicing results in multiple transcript variants, at least one of which encodes an isoform that is proteolytically processed. [provided by RefSeq, Feb 2016]
  • Immunogen Recombinant protein of human Semaphorin 7a
  • Gene ID 8482
  • Swiss Prot O75326
  • Synonyms JMH; CD108; SEMAL; CDw108; SEMAK1; H-Sema-L; H-SEMA-K1
  • Reactivity Human
  • Application WB, IHC-P, FC, IP
  • Recommended dilution WB: 1:1000
    IHC-P: 1:100
    FC: 1:200-1:500
    IP: 1:20-1:50
  • Calculated MW 75 kDa
  • Observed MW 75 kDa
  • Host species Rabbit
  • Clonality Monoclonal
  • Clonality No. DGR20676
  • Isotype IgG
  • Purity Affinity Purification
  • Conjugation Un-conjugated
  • Storage/Stability Store at -20°C. Supplied in 50mM Tris-Glycine(pH 7.4), 0.15M NaCl, 40% Glycerol, 0.01% sodium azide and 0.05% BSA. Stable for 12 months from date of receipt.
  • Western blot detection of Semaphorin 7a in A549,HL-60,U251,U87-MG cell lysates using Semaphorin 7a antibody(1:1000 diluted).
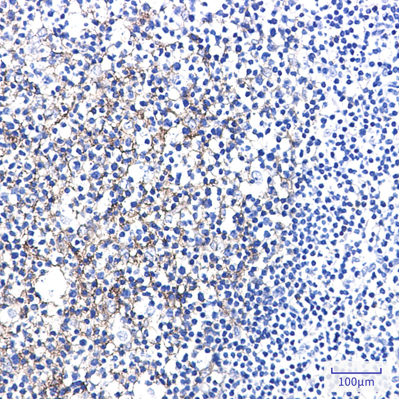
  • Immunohistochemical analysis of paraffin-embedded human tonsil using db14643 antibody.
订购信息
  • Package Price (RMB)
  • 10μL 398
  • 20μL 698
  • 50μL 1398
  • 100μL 2398
  • 货期:现货
For research use only. Not intended for diagnostic.