产品中心 Products Center
XRCC4 (7C10) Mouse mAb

Product Name : XRCC4 (7C10) Mouse mAb

Cat.No.: db6445

Synonyms : X ray repair cross complementing protein 4; DNA repair protein XRCC4; DNA double strand break repair

Application : WB, IHC-P, ICC/IF, IP

Reactivity : Human, Mouse, Rat

Host species : Mouse

  • Background Involved in DNA non-homologous end joining (NHEJ) required for double-strand break repair and V(D)J recombination. Binds to DNA and to DNA ligase IV (LIG4). The LIG4-XRCC4 complex is responsible for the NHEJ ligation step, and XRCC4 enhances the joining activity of LIG4. Binding of the LIG4-XRCC4 complex to DNA ends is dependent on the assembly of the DNA-dependent protein kinase complex DNA-PK to these DNA ends.
  • Immunogen Synthetic Peptide of XRCC4
  • Gene ID 7518
  • Swiss Prot Q13426
  • Synonyms X ray repair cross complementing protein 4; DNA repair protein XRCC4; DNA double strand break repair
  • Reactivity Human, Mouse, Rat
  • Application WB, IHC-P, ICC/IF, IP
  • Recommended dilution WB: 1:500-1:1000
    IHC: 1:50-1:100
    ICC/IF: 1:50-1:200
    IP: 1:20
  • Calculated MW 38 kDa
  • Observed MW 38-45 kDa
  • Host species Mouse
  • Clonality Monoclonal
  • Clonality No. 7C10-5H8-4F8
  • Isotype IgG1
  • Purity Affinity Purification
  • Conjugation Un-conjugated
  • Storage/Stability Store at -20°C. Supplied in PBS, 50% Glycerol(pH 7.3), 0.02% sodium azide and 0.5% BSA . Stable for 12 months from date of receipt.
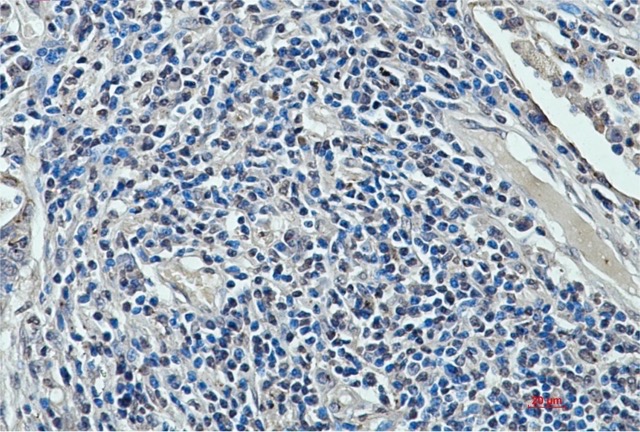
  • Immunohistochemistry analysis of paraffin-embedded XRCC4 in Human lung cancer using XRCC4 (7C10) antibody.High-pressure and temperature Sodium Citrate pH 6.0 was used for antigen retrieval.
  • Western blot analysis of XRCC4 (7C10) in XRCC4 in T47D, 3T3, COS7, C6 and Hela lysates using XRCC4 (7C10) antibody
  • Immunoprecipitation analysis of XRCC4 in Hela lysates using XRCC4 antibody.
订购信息
  • Package Price (RMB)
  • 50μL 1398
  • 100μL 2398
  • 货期:现货
For research use only. Not intended for diagnostic.