产品中心 Products Center
Phospho-PTS (Ser19) (DGR33280) Rabbit mAb

Product Name : Phospho-PTS (Ser19) (DGR33280) Rabbit mAb

Cat.No.: db11240

Synonyms : PTPS

Application:

Reactivity : Human

Host species : Rabbit

Conjugation/Formulation:Un-conjugated

  • Background The enzyme encoded by this gene catalyzes the elimination of inorganic triphosphate from dihydroneopterin triphosphate, which is the second and irreversible step in the biosynthesis of tetrahydrobiopterin from GTP. Tetrahydrobiopterin, also known as BH(4), is an essential cofactor and regulator of various enzyme activities, including enzymes involved in serotonin biosynthesis and NO synthase activity. Mutations in this gene result in hyperphenylalaninemia. [provided by RefSeq, Oct 2008]
  • Immunogen A synthetic phosphopeptide corresponding to residues surrounding Ser19 of human PTS/PTPS
  • Gene ID 5805
  • Swiss Prot Q03393
  • Synonyms PTPS
  • Reactivity Human
  • Application WB, IHC-P, ICC/IF
  • Recommended dilution WB: 1:1000-1:5000
    IHC-P: 1:200-1:500
    ICC/IF: 1:200-1:500
  • Calculated MW 16 kDa
  • Observed MW 16 kDa
  • Host species Rabbit
  • Clonality Monoclonal
  • Clonality No. DGR33280
  • Isotype IgG
  • Purity Affinity Purification
  • Conjugation Un-conjugated
  • Storage/Stability Store at -20°C. Supplied in 50mM Tris-Glycine(pH 7.4), 0.15M NaCl, 40% Glycerol, 0.01% sodium azide and 0.05% BSA. Stable for 12 months from date of receipt.
  • Western blot detection of PTS/PTPS (phospho-Ser19) in A549,HL-60 cell lysates using PTS/PTPS (phospho-Ser19) antibody(1:1000 diluted).
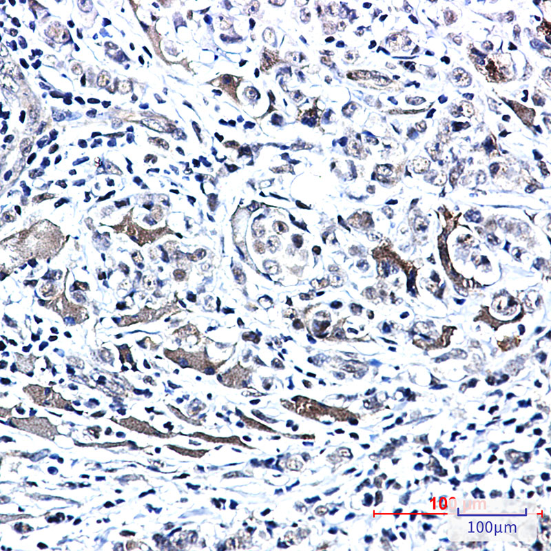
  • Immunohistochemical analysis of paraffin-embedded human breast cancer using db11240 antibody.
订购信息
  • Package Price (RMB)
  • 10μL 398
  • 20μL 698
  • 50μL 1398
  • 100μL 2398
  • 货期:现货
For research use only. Not intended for diagnostic.