产品中心 Products Center
LTK (DGR33723) Rabbit mAb

Product Name : LTK (DGR33723) Rabbit mAb

Cat.No.: db11252

Synonyms : TYK1

Application:

Reactivity : Human

Host species : Rabbit

Conjugation/Formulation:Un-conjugated

  • Background The protein encoded by this gene is a member of the ros/insulin receptor family of tyrosine kinases. Tyrosine-specific phosphorylation of proteins is a key to the control of diverse pathways leading to cell growth and differentiation. Multiple transcript variants encoding different isoforms have been found for this gene. [provided by RefSeq, Oct 2008]
  • Immunogen A synthetic peptide of human LTK
  • Gene ID 4058
  • Swiss Prot P29376
  • Synonyms TYK1
  • Reactivity Human
  • Application WB, IHC-P
  • Recommended dilution WB: 1:1000-1:5000
    IHC-P: 1:200-1:500
  • Calculated MW 92 kDa
  • Observed MW 92 kDa
  • Host species Rabbit
  • Clonality Monoclonal
  • Clonality No. DGR33723
  • Isotype IgG
  • Purity Affinity Purification
  • Conjugation Un-conjugated
  • Storage/Stability Store at -20°C. Supplied in 50mM Tris-Glycine(pH 7.4), 0.15M NaCl, 40% Glycerol, 0.01% sodium azide and 0.05% BSA. Stable for 12 months from date of receipt.
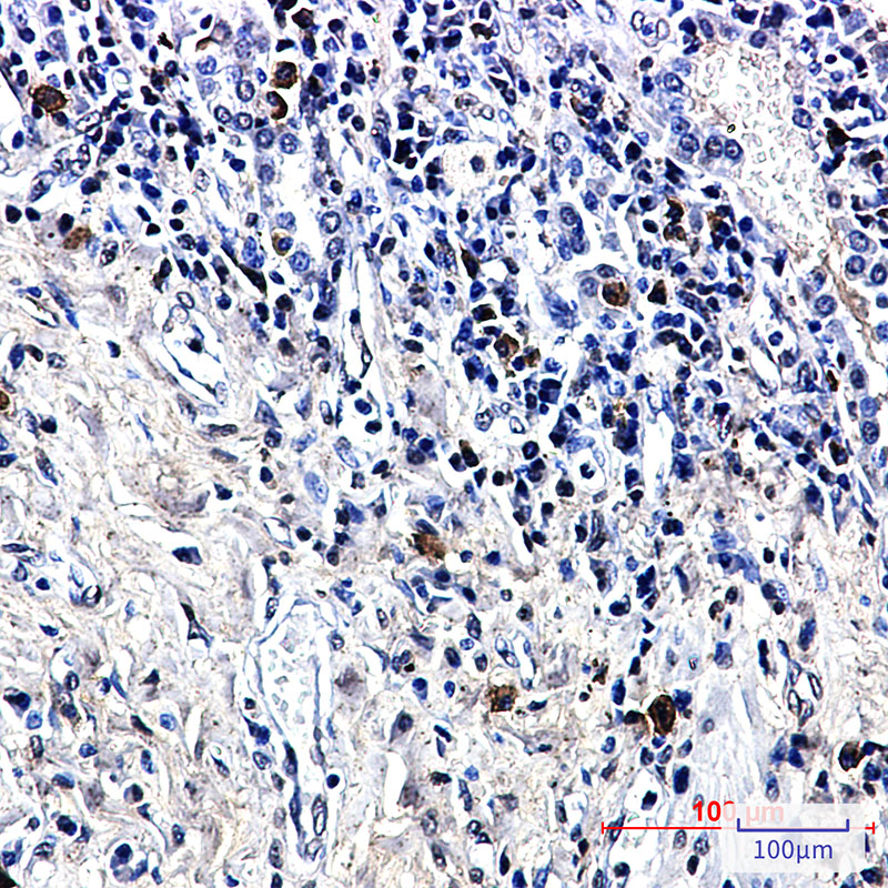
  • Immunohistochemical analysis of paraffin-embedded human lung cancer using db11252 antibody.
订购信息
  • Package Price (RMB)
  • 10μL 398
  • 20μL 698
  • 50μL 1398
  • 100μL 2398
  • 货期:现货
For research use only. Not intended for diagnostic.