产品中心 Products Center
SF2 (DGR20365) Rabbit mAb
Alternate Text
db11263
Datasheet

Product Name : SF2 (DGR20365) Rabbit mAb

Cat.No.: db11263

Synonyms : ASF; SF2; SFRS1; SF2p33; SRp30a

Application : WB, IHC-P, ICC/IF, FC

Reactivity : Human,Mouse,Rat

Host species : Rabbit

  • Background This gene encodes a member of the arginine/serine-rich splicing factor protein family. The encoded protein can either activate or repress splicing, depending on its phosphorylation state and its interaction partners. Multiple transcript variants have been found for this gene. There is a pseudogene of this gene on chromosome 13. [provided by RefSeq, Jun 2014]
  • Immunogen A synthetic peptide of human SF2
  • Gene ID 6426
  • Swiss Prot Q07955
  • Synonyms ASF; SF2; SFRS1; SF2p33; SRp30a
  • Reactivity Human,Mouse,Rat
  • Application WB, IHC-P, ICC/IF, FC
  • Recommended dilution WB: 1:1000-1:5000
    IHC-P: 1:200-1:1000
    ICC/IF: 1:100-1:500
    FC: 1:50-1:100
  • Calculated MW 28 kDa
  • Observed MW 28 kDa
  • Host species Rabbit
  • Clonality Monoclonal
  • Clonality No. DGR20365
  • Isotype IgG
  • Purity Affinity Purification
  • Conjugation Un-conjugated
  • Storage/Stability Store at -20°C. Supplied in 50mM Tris-Glycine(pH 7.4), 0.15M NaCl, 40% Glycerol, 0.01% sodium azide and 0.05% BSA. Stable for 12 months from date of receipt.
  • Western blot detection of SF2 in K562,C6 cell lysates using SF2 antibody(1:1000 diluted).
  • Western blot analysis of extracts from HeLa cells and Mouse spleen tissue using db11263 at 1:2000.
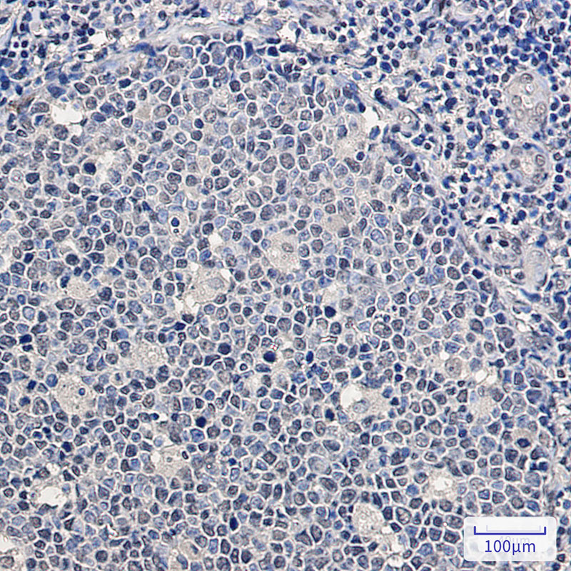
  • Immunohistochemical analysis of paraffin-embedded human tonsil using db11263 antibody.
  • Immunofluorescent analysis of 293T cells using db11263 antibody (green), and DAPI (blue).
订购信息
  • Package Price (RMB)
  • 10μL 398
  • 20μL 698
  • 50μL 1398
  • 100μL 2398
  • 货期:现货
For research use only. Not intended for diagnostic.