产品中心 Products Center
DAB2 (DGR21087) Rabbit mAb

Product Name : DAB2 (DGR21087) Rabbit mAb

Cat.No.: db11306

Synonyms : DOC2; DOC-2

Application:

Reactivity : Human, Mouse, Rat

Host species : Rabbit

Conjugation/Formulation:Un-conjugated

  • Background This gene encodes a mitogen-responsive phosphoprotein. It is expressed in normal ovarian epithelial cells, but is down-regulated or absent from ovarian carcinoma cell lines, suggesting its role as a tumor suppressor. This protein binds to the SH3 domains of GRB2, an adaptor protein that couples tyrosine kinase receptors to SOS (a guanine nucleotide exchange factor for Ras), via its C-terminal proline-rich sequences, and may thus modulate growth factor/Ras pathways by competing with SOS for binding to GRB2. Alternatively spliced transcript variants encoding different isoforms have been found for this gene. [provided by RefSeq, Oct 2011]
  • Immunogen A synthetic peptide of human DAB2
  • Gene ID 1601
  • Swiss Prot P98082
  • Synonyms DOC2; DOC-2
  • Reactivity Human,Mouse,Rat
  • Application WB, IHC-P, IP
  • Recommended dilution WB: 1:1000
    IHC-P: 1:200-1:500
    IP: 1:20-1:50
  • Calculated MW 83 kDa
  • Observed MW 96 kDa
  • Host species Rabbit
  • Clonality Monoclonal
  • Clonality No. DGR21087
  • Isotype IgG
  • Purity Affinity Purification
  • Conjugation Un-conjugated
  • Storage/Stability Store at -20°C. Supplied in 50mM Tris-Glycine(pH 7.4), 0.15M NaCl, 40% Glycerol, 0.01% sodium azide and 0.05% BSA. Stable for 12 months from date of receipt.
  • Western blot detection of DAB2 in HepG2,U2OS,U251 using DAB2 antibody(1:1000 diluted)
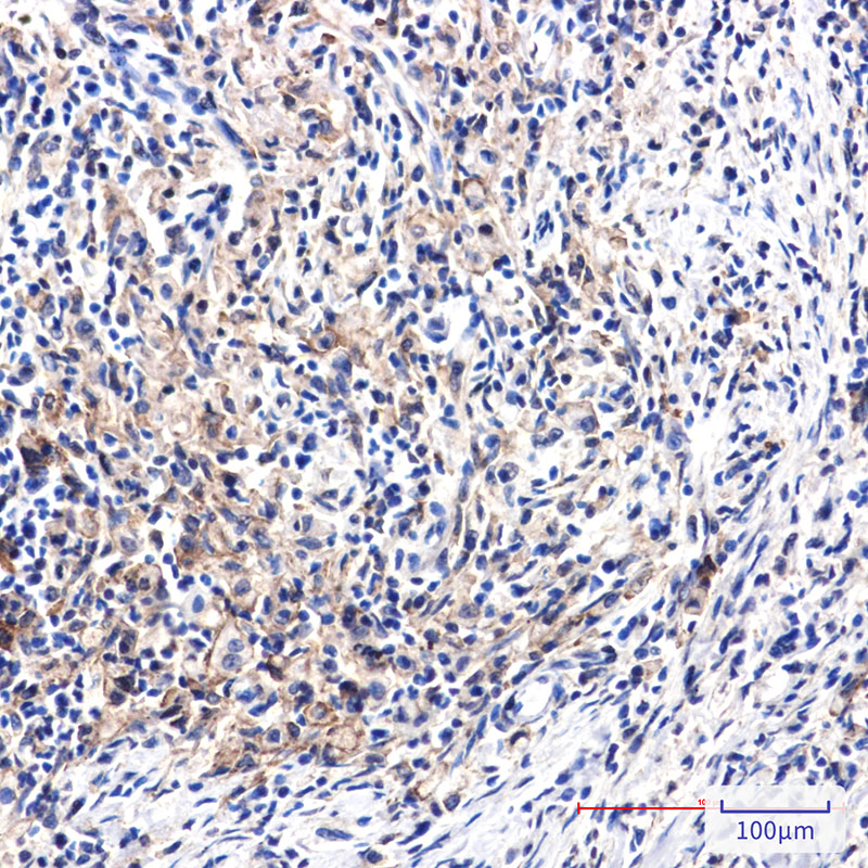
  • Immunohistochemical analysis of paraffin-embedded human lung cancer using db11306 antibody.
订购信息
  • Package Price (RMB)
  • 10μL 398
  • 20μL 698
  • 50μL 1398
  • 100μL 2398
  • 货期:现货
For research use only. Not intended for diagnostic.