产品中心 Products Center
Poliovirus Receptor (DGR33088) Rabbit mAb

Product Name : Poliovirus Receptor (DGR33088) Rabbit mAb

Cat.No.: db11384

Synonyms : PVS; HVED; CD155; NECL5; TAGE4; Necl-5

Application:

Reactivity : Human

Host species : Rabbit

Conjugation/Formulation:Un-conjugated

  • Background The protein encoded by this gene is a transmembrane glycoprotein belonging to the immunoglobulin superfamily. The external domain mediates cell attachment to the extracellular matrix molecule vitronectin, while its intracellular domain interacts with the dynein light chain Tctex-1/DYNLT1. The gene is specific to the primate lineage, and serves as a cellular receptor for poliovirus in the first step of poliovirus replication. Multiple transcript variants encoding different isoforms have been found for this gene. [provided by RefSeq, Oct 2008]
  • Immunogen Recombinant protein of human Poliovirus Receptor/PVR
  • Gene ID 5817
  • Swiss Prot P15151
  • Synonyms PVS; HVED; CD155; NECL5; TAGE4; Necl-5
  • Reactivity Human
  • Application WB, IHC-P
  • Recommended dilution WB: 1:1000
    IHC-P: 1:200-1:500
  • Calculated MW 45 kDa
  • Observed MW 60-80 kDa
  • Host species Rabbit
  • Clonality Monoclonal
  • Clonality No. DGR33088
  • Isotype IgG
  • Purity Affinity Purification
  • Conjugation Un-conjugated
  • Storage/Stability Store at -20°C. Supplied in 50mM Tris-Glycine(pH 7.4), 0.15M NaCl, 40% Glycerol, 0.01% sodium azide and 0.05% BSA. Stable for 12 months from date of receipt.
  • Western blot detection of Poliovirus Receptor/PVR in Hela,A549,U2OS cell lysates using Poliovirus Receptor/PVR antibody(1:1000 diluted).
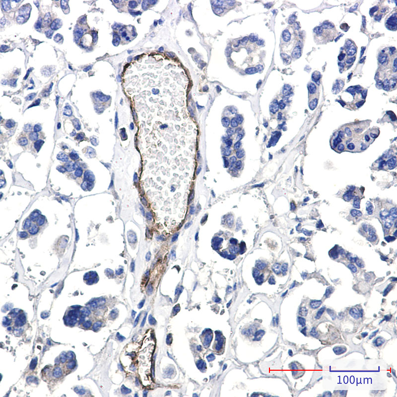
  • Immunohistochemical analysis of paraffin-embedded human Cholangiocarcinoma using db11384 antibody.
订购信息
  • Package Price (RMB)
  • 10μL 398
  • 20μL 698
  • 50μL 1398
  • 100μL 2398
  • 货期:现货
For research use only. Not intended for diagnostic.