产品中心 Products Center
RRM1 (DGR14730) Rabbit mAb

Product Name : RRM1 (DGR14730) Rabbit mAb

Cat.No.: db11734

Synonyms : R1; RR1; RIR1

Application:

Reactivity : Human, Mouse, Rat

Host species : Rabbit

Conjugation/Formulation:Un-conjugated

  • Background This gene encodes the large and catalytic subunit of ribonucleotide reductase, an enzyme essential for the conversion of ribonucleotides into deoxyribonucleotides. A pool of available deoxyribonucleotides is important for DNA replication during S phase of the cell cycle as well as multiple DNA repair processes. Alternative splicing results in multiple transcript variants. [provided by RefSeq, Dec 2015]
  • Immunogen A synthetic peptide of human RRM1
  • Gene ID 6240
  • Swiss Prot P23921
  • Synonyms R1; RR1; RIR1
  • Reactivity Human,Mouse,Rat
  • Application WB, IHC-P, ICC/IF, FC
  • Recommended dilution WB: 1:2000-1:20000
    IHC-P: 1:200-1:1000
    ICC/IF: 1:100-1:200
    FC: 1:100
  • Calculated MW 90 kDa
  • Observed MW 90 kDa
  • Host species Rabbit
  • Clonality Monoclonal
  • Clonality No. DGR14730
  • Isotype IgG
  • Purity Affinity Purification
  • Conjugation Un-conjugated
  • Storage/Stability Store at -20°C. Supplied in 50mM Tris-Glycine(pH 7.4), 0.15M NaCl, 40% Glycerol, 0.01% sodium azide and 0.05% BSA. Stable for 12 months from date of receipt.
  • Western blot detection of RRM1 in U2OS,HepG2,MCF7 cell lysates using RRM1 antibody(1:500 diluted).
  • Western blot analysis of extracts from HeLa cells tissue using db11734 at 1:5000.
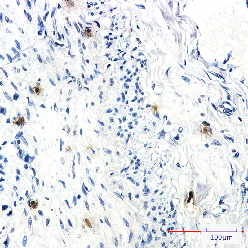
  • Immunohistochemical analysis of paraffin-embedded human lung cancer using db11734 antibody.
  • Immunofluorescent analysis of HeLa cells using db11734 antibody (green), and DAPI (blue).
订购信息
  • Package Price (RMB)
  • 10μL 398
  • 20μL 698
  • 50μL 1398
  • 100μL 2398
  • 货期:现货
For research use only. Not intended for diagnostic.