产品中心 Products Center
Creatine Kinase B type (DGR18824) Rabbit mAb

Product Name : Creatine Kinase B type (DGR18824) Rabbit mAb

Cat.No.: db12026

Synonyms : BCK; B-CK; CKBB; HEL-211; HEL-S-29

Application:

Reactivity : Human, Mouse, Rat

Host species : Rabbit

Conjugation/Formulation:Un-conjugated

  • Background The protein encoded by this gene is a cytoplasmic enzyme involved in energy homeostasis. The encoded protein reversibly catalyzes the transfer of phosphate between ATP and various phosphogens such as creatine phosphate. It acts as a homodimer in brain as well as in other tissues, and as a heterodimer with a similar muscle isozyme in heart. The encoded protein is a member of the ATP:guanido phosphotransferase protein family. A pseudogene of this gene has been characterized. [provided by RefSeq, Jul 2008]
  • Immunogen A synthetic peptide of human Creatine kinase B type
  • Gene ID 1152
  • Swiss Prot P12277
  • Synonyms BCK; B-CK; CKBB; HEL-211; HEL-S-29
  • Reactivity Human,Mouse,Rat
  • Application WB, IHC-P
  • Recommended dilution WB: 1:5000-1:50000
    IHC-P: 1:200-1:500
  • Calculated MW 43 kDa
  • Observed MW 43 kDa
  • Host species Rabbit
  • Clonality Monoclonal
  • Clonality No. DGR18824
  • Isotype IgG
  • Purity Affinity Purification
  • Conjugation Un-conjugated
  • Storage/Stability Store at -20°C. Supplied in 50mM Tris-Glycine(pH 7.4), 0.15M NaCl, 40% Glycerol, 0.01% sodium azide and 0.05% BSA. Stable for 12 months from date of receipt.
  • Western blot detection of Creatine kinase B type in K562,Rat Brain,C6,3T3 cell lysates using Creatine kinase B type antibody(1:1000 diluted).
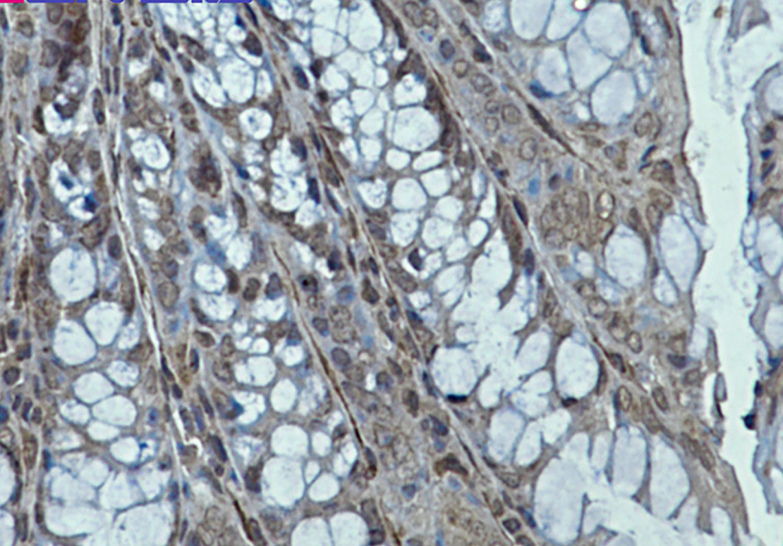
  • Immunohistochemical analysis of paraffin-embedded mouse colon using db12026 antibody.
订购信息
  • Package Price (RMB)
  • 10μL 398
  • 20μL 698
  • 50μL 1398
  • 100μL 2398
  • 货期:现货
For research use only. Not intended for diagnostic.