产品中心 Products Center
IRF3 (DGR33338) Rabbit mAb

Product Name : IRF3 (DGR33338) Rabbit mAb

Cat.No.: db12027

Synonyms : IIAE7

Application:

Reactivity : Human

Host species : Rabbit

Conjugation/Formulation:Un-conjugated

  • Background This gene encodes a member of the interferon regulatory transcription factor (IRF) family. The encoded protein is found in an inactive cytoplasmic form that upon serine/threonine phosphorylation forms a complex with CREBBP. This complex translocates to the nucleus and activates the transcription of interferons alpha and beta, as well as other interferon-induced genes. The protein plays an important in the innate immune response against DNA and RNA viruses. Alternatively spliced transcript variants encoding multiple isoforms have been observed for this gene. [provided by RefSeq, Jun 2020]
  • Immunogen A synthetic peptide of human IRF3
  • Gene ID 3661
  • Swiss Prot Q14653
  • Synonyms IIAE7
  • Reactivity Human
  • Application WB, IHC-P, FC, IP
  • Recommended dilution WB: 1:1000
    IHC-P: 1:100-1:200
    FC: 1:20
    IP: 1:20
  • Calculated MW 47 kDa
  • Observed MW 47 kDa
  • Host species Rabbit
  • Clonality Monoclonal
  • Clonality No. DGR33338
  • Isotype IgG
  • Purity Affinity Purification
  • Conjugation Un-conjugated
  • Storage/Stability Store at -20°C. Supplied in 50mM Tris-Glycine(pH 7.4), 0.15M NaCl, 40% Glycerol, 0.01% sodium azide and 0.05% BSA. Stable for 12 months from date of receipt.
  • Western blot detection of IRF3 in Hela,A549,HL-60 cell lysates using IRF3 antibody(1:1000 diluted).
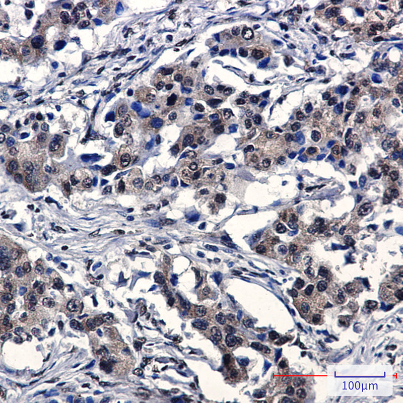
  • Immunohistochemical analysis of paraffin-embedded human lung cancer using db12027 antibody.
订购信息
  • Package Price (RMB)
  • 10μL 398
  • 20μL 698
  • 50μL 1398
  • 100μL 2398
  • 货期:现货
For research use only. Not intended for diagnostic.