产品中心 Products Center
Hexokinase II (DGR15838) Rabbit mAb

Product Name : Hexokinase II (DGR15838) Rabbit mAb

Cat.No.: db13142

Synonyms : HKII; HXK2

Application:

Reactivity : Human, Mouse, Rat

Host species : Rabbit

Conjugation/Formulation:Un-conjugated

  • Background Hexokinases phosphorylate glucose to produce glucose-6-phosphate, the first step in most glucose metabolism pathways. This gene encodes hexokinase 2, the predominant form found in skeletal muscle. It localizes to the outer membrane of mitochondria. Expression of this gene is insulin-responsive, and studies in rat suggest that it is involved in the increased rate of glycolysis seen in rapidly growing cancer cells. [provided by RefSeq, Apr 2009]
  • Immunogen Recombinant protein of human Hexokinase II
  • Gene ID 3099
  • Swiss Prot P52789
  • Synonyms HKII; HXK2
  • Reactivity Human,Mouse,Rat
  • Application WB, IHC-P, ICC/IF, FC, IP
  • Recommended dilution WB: 1:1000
    IHC-P: 1:200-1:500
    ICC/IF: 1:100
    FC: 1:50-1:100
    IP: 1:20-1:50
  • Calculated MW 102 kDa
  • Observed MW 102 kDa
  • Host species Rabbit
  • Clonality Monoclonal
  • Clonality No. DGR15838
  • Isotype IgG
  • Purity Affinity Purification
  • Conjugation Un-conjugated
  • Storage/Stability Store at -20°C. Supplied in 50mM Tris-Glycine(pH 7.4), 0.15M NaCl, 40% Glycerol, 0.01% sodium azide and 0.05% BSA. Stable for 12 months from date of receipt.
  • Western blot detection of Hexokinase II in Hela,CHO-K1 cell lysates using Hexokinase II antibody(1:500 diluted).
  • Western blot analysis of extracts from HepG2 cells using db13142 at 1:1000.
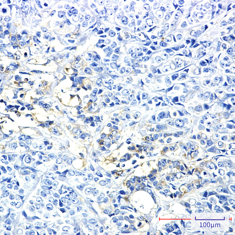
  • Immunohistochemical analysis of paraffin-embedded human breast cancer using db13142 antibody.
订购信息
  • Package Price (RMB)
  • 10μL 398
  • 20μL 698
  • 50μL 1398
  • 100μL 2398
  • 货期:现货
For research use only. Not intended for diagnostic.