产品中心 Products Center
Lumican (DGR19074) Rabbit mAb

Product Name : Lumican (DGR19074) Rabbit mAb

Cat.No.: db13159

Synonyms : LDC; SLRR2D

Application:

Reactivity : Human, Mouse, Rat

Host species : Rabbit

Conjugation/Formulation:Un-conjugated

  • Background This gene encodes a member of the small leucine-rich proteoglycan (SLRP) family that includes decorin, biglycan, fibromodulin, keratocan, epiphycan, and osteoglycin. In these bifunctional molecules, the protein moiety binds collagen fibrils and the highly charged hydrophilic glycosaminoglycans regulate interfibrillar spacings. Lumican is the major keratan sulfate proteoglycan of the cornea but is also distributed in interstitial collagenous matrices throughout the body. Lumican may regulate collagen fibril organization and circumferential growth, corneal transparency, and epithelial cell migration and tissue repair. [provided by RefSeq, Jul 2008]
  • Immunogen A synthetic peptide of human Lumican
  • Gene ID 4060
  • Swiss Prot P51884
  • Synonyms LDC; SLRR2D
  • Reactivity Human,Mouse,Rat
  • Application WB, IHC-P, ICC/IF, FC
  • Recommended dilution WB: 1:1000-1:5000
    IHC-P: 1:50-1:100
    ICC/IF: 1:200-1:500
    FC: 1:100-1:200
  • Calculated MW 38 kDa
  • Observed MW 60 kDa
  • Host species Rabbit
  • Clonality Monoclonal
  • Clonality No. DGR19074
  • Isotype IgG
  • Purity Affinity Purification
  • Conjugation Un-conjugated
  • Storage/Stability Store at -20°C. Supplied in 50mM Tris-Glycine(pH 7.4), 0.15M NaCl, 40% Glycerol, 0.01% sodium azide and 0.05% BSA. Stable for 12 months from date of receipt.
  • Western blot detection of Lumican in K562,C6,3T3,Hela cell lysates using Lumican antibody(1:1000 diluted).
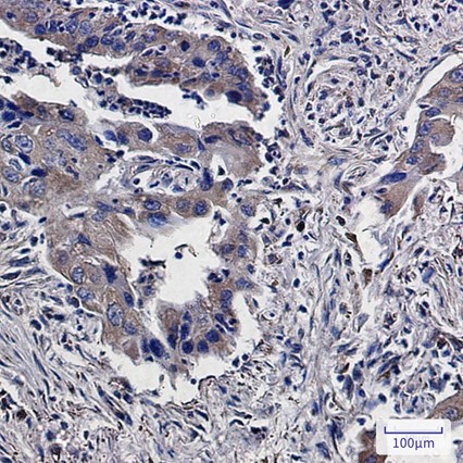
  • Immunohistochemical analysis of paraffin-embedded human lung cancer using db13159 antibody.
  • Immunofluorescent analysis of HeLa cells using db13159 antibody (green), and DAPI (blue).
  • Western blot analysis of extracts from Jurkat,C2C12 cells using db13159 at 1:1000.
订购信息
  • Package Price (RMB)
  • 10μL 398
  • 20μL 698
  • 50μL 1398
  • 100μL 2398
  • 货期:现货
For research use only. Not intended for diagnostic.