产品中心 Products Center
SATB1 (DGR13160) Rabbit mAb
Alternate Text
db13199
Datasheet

Product Name : SATB1 (DGR13160) Rabbit mAb

Cat.No.: db13199

Synonyms : Special AT-rich sequence-binding protein 1

Application : WB, IHC-P, ICC/IF, FC, IP

Reactivity : Human,Mouse,Rat

Host species : Rabbit

  • Background This gene encodes a matrix protein which binds nuclear matrix and scaffold-associating DNAs through a unique nuclear architecture. The protein recruits chromatin-remodeling factors in order to regulate chromatin structure and gene expression. [provided by RefSeq, Apr 2016]
  • Immunogen A synthetic peptide of human SATB1
  • Gene ID 6304
  • Swiss Prot Q01826
  • Synonyms Special AT-rich sequence-binding protein 1
  • Reactivity Human,Mouse,Rat
  • Application WB, IHC-P, ICC/IF, FC, IP
  • Recommended dilution WB: 1:1000
    IHC-P: 1:200-1:500
    ICC/IF: 1:200-1:500
    FC: 1:100
    IP: 1:20
  • Calculated MW 86 kDa
  • Observed MW 100 kDa
  • Host species Rabbit
  • Clonality Monoclonal
  • Clonality No. DGR13160
  • Isotype IgG
  • Purity Affinity Purification
  • Conjugation Un-conjugated
  • Storage/Stability Store at -20°C. Supplied in 50mM Tris-Glycine(pH 7.4), 0.15M NaCl, 40% Glycerol, 0.01% sodium azide and 0.05% BSA. Stable for 12 months from date of receipt.
  • Western blot detection of SATB1 in Hela,A549,HL-60,U2OS cell lysates using SATB1 antibody(1:1000 diluted).
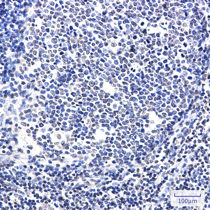
  • Immunohistochemical analysis of paraffin-embedded human tonsil using db13199 antibody.
订购信息
  • Package Price (RMB)
  • 10μL 398
  • 20μL 698
  • 50μL 1398
  • 100μL 2398
  • 货期:现货
For research use only. Not intended for diagnostic.