产品中心 Products Center
Pumilio 1 (DGR14224) Rabbit mAb

Product Name : Pumilio 1 (DGR14224) Rabbit mAb

Cat.No.: db13306

Synonyms : PUMH; HSPUM; PUMH1; PUML1

Application:

Reactivity : Human, Mouse, Rat

Host species : Rabbit

Conjugation/Formulation:Un-conjugated

  • Background This gene encodes a member of the PUF family, evolutionarily conserved RNA-binding proteins related to the Pumilio proteins of Drosophila and the fem-3 mRNA binding factor proteins of C. elegans. The encoded protein contains a sequence-specific RNA binding domain comprised of eight repeats and N- and C-terminal flanking regions, and serves as a translational regulator of specific mRNAs by binding to their 3' untranslated regions. The evolutionarily conserved function of the encoded protein in invertebrates and lower vertebrates suggests that the human protein may be involved in translational regulation of embryogenesis, and cell development and differentiation. Alternatively spliced transcript variants encoding different isoforms have been described. [provided by RefSeq, Jul 2008]
  • Immunogen A synthetic peptide of human Pumilio 1
  • Gene ID 9698
  • Swiss Prot Q14671
  • Synonyms PUMH; HSPUM; PUMH1; PUML1
  • Reactivity Human,Mouse,Rat
  • Application WB, IHC-P, ICC/IF, FC
  • Recommended dilution WB: 1:1000-1:5000
    IHC-P: 1:100
    ICC/IF: 1:200-1:500
    FC: 1:20-1:50
  • Calculated MW 127 kDa
  • Observed MW 140 kDa
  • Host species Rabbit
  • Clonality Monoclonal
  • Clonality No. DGR14224
  • Isotype IgG
  • Purity Affinity Purification
  • Conjugation Un-conjugated
  • Storage/Stability Store at -20°C. Supplied in 50mM Tris-Glycine(pH 7.4), 0.15M NaCl, 40% Glycerol, 0.01% sodium azide and 0.05% BSA. Stable for 12 months from date of receipt.
  • Western blot detection of Pumilio 1 in 3T3 cell lysates using Pumilio 1 antibody(1:1000 diluted).
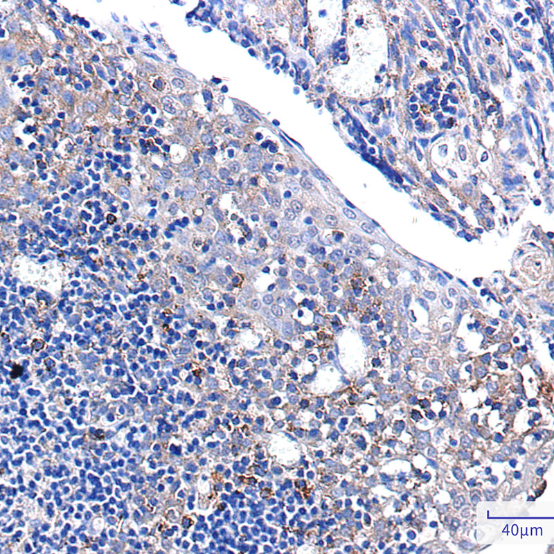
  • Immunohistochemical analysis of paraffin-embedded human tonsil using db13306 antibody.
  • Immunofluorescent analysis of HCT116 cells using db13306 antibody (green), and DAPI (blue).
订购信息
  • Package Price (RMB)
  • 10μL 398
  • 20μL 698
  • 50μL 1398
  • 100μL 2398
  • 货期:现货
For research use only. Not intended for diagnostic.