产品中心 Products Center
IDH1 (DGR11442) Rabbit mAb

Product Name : IDH1 (DGR11442) Rabbit mAb

Cat.No.: db13388

Synonyms : IDH; IDP; IDCD; IDPC; PICD; HEL-216; HEL-S-26

Application:

Reactivity : Human, Mouse, Rat

Host species : Rabbit

Conjugation/Formulation:Un-conjugated

  • Background Isocitrate dehydrogenases catalyze the oxidative decarboxylation of isocitrate to 2-oxoglutarate. These enzymes belong to two distinct subclasses, one of which utilizes NAD(+) as the electron acceptor and the other NADP(+). Five isocitrate dehydrogenases have been reported: three NAD(+)-dependent isocitrate dehydrogenases, which localize to the mitochondrial matrix, and two NADP(+)-dependent isocitrate dehydrogenases, one of which is mitochondrial and the other predominantly cytosolic. Each NADP(+)-dependent isozyme is a homodimer. The protein encoded by this gene is the NADP(+)-dependent isocitrate dehydrogenase found in the cytoplasm and peroxisomes. It contains the PTS-1 peroxisomal targeting signal sequence. The presence of this enzyme in peroxisomes suggests roles in the regeneration of NADPH for intraperoxisomal reductions, such as the conversion of 2, 4-dienoyl-CoAs to 3-enoyl-CoAs, as well as in peroxisomal reactions that consume 2-oxoglutarate, namely the alpha-hydroxylation of phytanic acid. The cytoplasmic enzyme serves a significant role in cytoplasmic NADPH production. Alternatively spliced transcript variants encoding the same protein have been found for this gene. [provided by RefSeq, Sep 2013]
  • Immunogen A synthetic peptide of human Isocitrate dehydrogenase
  • Gene ID 3417
  • Swiss Prot O75874
  • Synonyms IDH; IDP; IDCD; IDPC; PICD; HEL-216; HEL-S-26
  • Reactivity Human,Mouse,Rat
  • Application WB, IHC-P, IP
  • Recommended dilution WB: 1:1000-1:5000
    IHC-P: 1:100-1:200
    IP: 1:10-1:100
  • Calculated MW 47 kDa
  • Observed MW 47 kDa
  • Host species Rabbit
  • Clonality Monoclonal
  • Clonality No. DGR11442
  • Isotype IgG
  • Purity Affinity Purification
  • Conjugation Un-conjugated
  • Storage/Stability Store at -20°C. Supplied in 50mM Tris-Glycine(pH 7.4), 0.15M NaCl, 40% Glycerol, 0.01% sodium azide and 0.05% BSA. Stable for 12 months from date of receipt.
  • Western blot detection of IDH1 in Rat Brain,C6,3T3,Hela cell lysates using IDH1 antibody(1:1000 diluted).
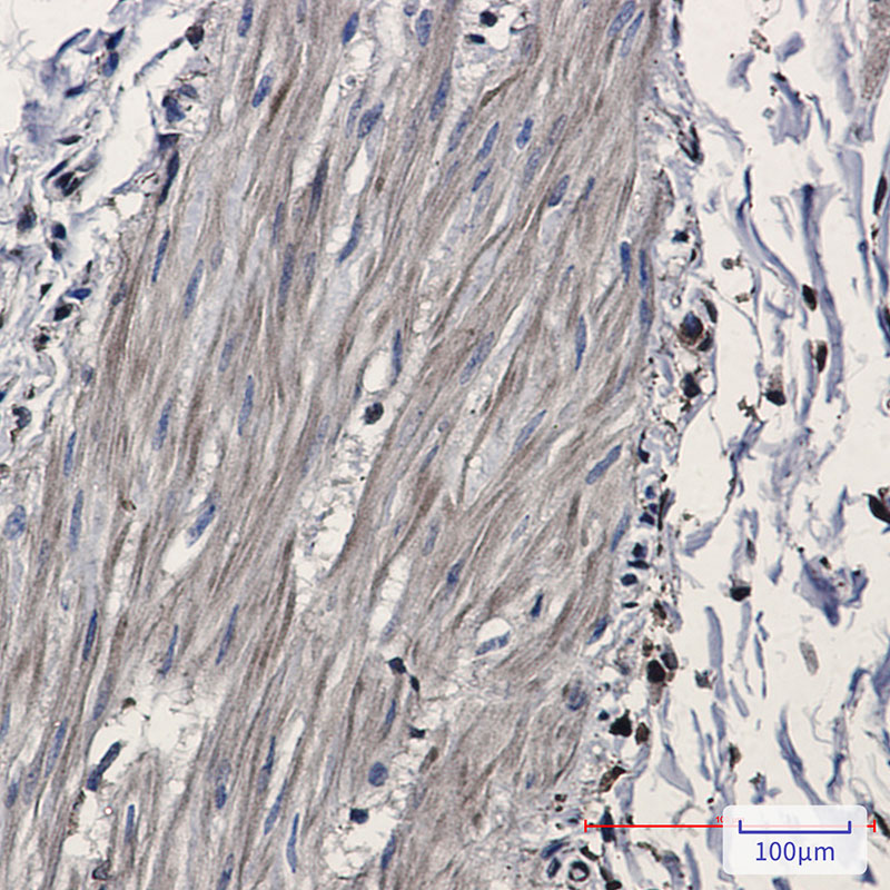
  • Immunohistochemical analysis of paraffin-embedded human Cholangiocarcinoma using db13388 antibody.
订购信息
  • Package Price (RMB)
  • 10μL 398
  • 20μL 698
  • 50μL 1398
  • 100μL 2398
  • 货期:现货
For research use only. Not intended for diagnostic.