产品中心 Products Center
TXNRD2 (DGR15171) Rabbit mAb

Product Name : TXNRD2 (DGR15171) Rabbit mAb

Cat.No.: db14072

Synonyms : TR; TR3; SELZ; TRXR2; TR-BETA

Application:

Reactivity : Human, Mouse, Rat

Host species : Rabbit

Conjugation/Formulation:Un-conjugated

  • Background The protein encoded by this gene belongs to the pyridine nucleotide-disulfide oxidoreductase family, and is a member of the thioredoxin (Trx) system. Three thioredoxin reductase (TrxR) isozymes are found in mammals. TrxRs are selenocysteine-containing flavoenzymes, which reduce thioredoxins, as well as other substrates, and play a key role in redox homoeostasis. This gene encodes a mitochondrial form important for scavenging reactive oxygen species in mitochondria. It functions as a homodimer containing FAD, and selenocysteine (Sec) at the active site. Sec is encoded by UGA codon that normally signals translation termination. The 3' UTRs of selenoprotein mRNAs contain a conserved stem-loop structure, the Sec insertion sequence (SECIS) element, which is necessary for the recognition of UGA as a Sec codon rather than as a stop signal. Alternatively spliced transcript variants encoding different isoforms, including a few localized in the cytosol and some lacking the C-terminal Sec residue, have been found for this gene. [provided by RefSeq, Jun 2017]
  • Immunogen A synthetic peptide of human TXNRD2
  • Gene ID 10587
  • Swiss Prot Q9NNW7
  • Synonyms TR; TR3; SELZ; TRXR2; TR-BETA
  • Reactivity Human,Mouse,Rat
  • Application WB, IHC-P
  • Recommended dilution WB: 1:1000-1:5000
    IHC-P: 1:50-1:100
  • Calculated MW 57 kDa
  • Observed MW 57 kDa
  • Host species Rabbit
  • Clonality Monoclonal
  • Clonality No. DGR15171
  • Isotype IgG
  • Purity Affinity Purification
  • Conjugation Un-conjugated
  • Storage/Stability Store at -20°C. Supplied in 50mM Tris-Glycine(pH 7.4), 0.15M NaCl, 40% Glycerol, 0.01% sodium azide and 0.05% BSA. Stable for 12 months from date of receipt.
  • Western blot analysis of extracts from K562, HeLa cells using db14072 at 1:1000.
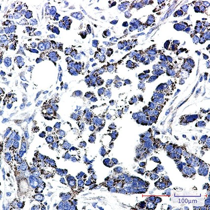
  • Immunohistochemical analysis of paraffin-embedded human Cholangiocarcinoma using db14072 antibody.
  • Western blot analysis of extracts from Mouse heart tissue using db14072 at 1:1000.
订购信息
  • Package Price (RMB)
  • 10μL 398
  • 20μL 698
  • 50μL 1398
  • 100μL 2398
  • 货期:现货
For research use only. Not intended for diagnostic.