产品中心 Products Center
NDUFS6 (DGR14924) Rabbit mAb

Product Name : NDUFS6 (DGR14924) Rabbit mAb

Cat.No.: db14217

Synonyms : CI-13kA; CI13KDA; CI-13kD-A

Application:

Reactivity : Human, Mouse, Rat

Host species : Rabbit

Conjugation/Formulation:Un-conjugated

  • Background This gene encodes a subunit of the NADH:ubiquinone oxidoreductase (complex I), which is the first enzyme complex in the electron transport chain of mitochondria. This complex functions in the transfer of electrons from NADH to the respiratory chain. The subunit encoded by this gene is one of seven subunits in the iron-sulfur protein fraction. Mutations in this gene cause mitochondrial complex I deficiency, a disease that causes a wide variety of clinical disorders, including neonatal disease and adult-onset neurodegenerative disorders.[provided by RefSeq, Oct 2009]
  • Immunogen Recombinant protein of human NDUFS6
  • Gene ID 4726
  • Swiss Prot O75380
  • Synonyms CI-13kA; CI13KDA; CI-13kD-A
  • Reactivity Human,Mouse,Rat
  • Application WB, IHC-P, IP
  • Recommended dilution WB: 1:1000
    IHC-P: 1:200-1:500
    IP: 1:20-1:50
  • Calculated MW 14 kDa
  • Observed MW 14 kDa
  • Host species Rabbit
  • Clonality Monoclonal
  • Clonality No. DGR14924
  • Isotype IgG
  • Purity Affinity Purification
  • Conjugation Un-conjugated
  • Storage/Stability Store at -20°C. Supplied in 50mM Tris-Glycine(pH 7.4), 0.15M NaCl, 40% Glycerol, 0.01% sodium azide and 0.05% BSA. Stable for 12 months from date of receipt.
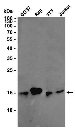
  • Western blot analysis of extracts from COS7, Raji, 3T3, Jurkat cells using db14217 at 1:1000.
  • Western blot analysis of extracts from Rat heart tissue using db14217 at 1:1000.
订购信息
  • Package Price (RMB)
  • 10μL 398
  • 20μL 698
  • 50μL 1398
  • 100μL 2398
  • 货期:现货
For research use only. Not intended for diagnostic.