产品中心 Products Center
CDK9 (DGR12818) Rabbit mAb

Product Name : CDK9 (DGR12818) Rabbit mAb

Cat.No.: db14251

Synonyms : TAK; C-2k; CTK1; CDC2L4; PITALRE

Application:

Reactivity : Human, Mouse, Rat

Host species : Rabbit

Conjugation/Formulation:Un-conjugated

  • Background The protein encoded by this gene is a member of the cyclin-dependent protein kinase (CDK) family. CDK family members are highly similar to the gene products of S. cerevisiae cdc28, and S. pombe cdc2, and known as important cell cycle regulators. This kinase was found to be a component of the multiprotein complex TAK/P-TEFb, which is an elongation factor for RNA polymerase II-directed transcription and functions by phosphorylating the C-terminal domain of the largest subunit of RNA polymerase II. This protein forms a complex with and is regulated by its regulatory subunit cyclin T or cyclin K. HIV-1 Tat protein was found to interact with this protein and cyclin T, which suggested a possible involvement of this protein in AIDS. [provided by RefSeq, Jul 2008]
  • Immunogen A synthetic peptide of human Cdk9
  • Gene ID 1025
  • Swiss Prot P50750
  • Synonyms TAK; C-2k; CTK1; CDC2L4; PITALRE
  • Reactivity Human,Mouse,Rat
  • Application WB, IHC-P, ICC/IF, FC, IP
  • Recommended dilution WB: 1:1000-1:5000
    IHC-P: 1:100-1:200
    ICC/IF: 1:50
    FC: 1:50-1:100
    IP: 1:20
  • Calculated MW 43 kDa
  • Observed MW 43 kDa
  • Host species Rabbit
  • Clonality Monoclonal
  • Clonality No. DGR12818
  • Isotype IgG
  • Purity Affinity Purification
  • Conjugation Un-conjugated
  • Storage/Stability Store at -20°C. Supplied in 50mM Tris-Glycine(pH 7.4), 0.15M NaCl, 40% Glycerol, 0.01% sodium azide and 0.05% BSA. Stable for 12 months from date of receipt.
  • Western blot detection of Cdk9 in K562,C6,3T3,Hela cell lysates using Cdk9 antibody(1:1000 diluted).
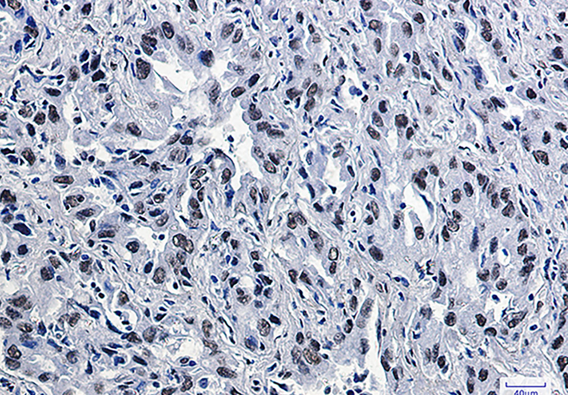
  • Immunohistochemical analysis of paraffin-embedded human lung cancer using db14251 antibody.
  • Immunofluorescent analysis of HeLa cells using db14251 antibody (green), and DAPI (blue).
订购信息
  • Package Price (RMB)
  • 10μL 398
  • 20μL 698
  • 50μL 1398
  • 100μL 2398
  • 货期:现货
For research use only. Not intended for diagnostic.