产品中心 Products Center
Optineurin (DGR32102) Rabbit mAb

Product Name : Optineurin (DGR32102) Rabbit mAb

Cat.No.: db14275

Synonyms : NRP; FIP2; HIP7; HYPL; ALS12; GLC1E; TFIIIA-INTP

Application:

Reactivity : Human

Host species : Rabbit

Conjugation/Formulation:Un-conjugated

  • Background This gene encodes the coiled-coil containing protein optineurin. Optineurin may play a role in normal-tension glaucoma and adult-onset primary open angle glaucoma. Optineurin interacts with adenovirus E3-14.7K protein and may utilize tumor necrosis factor-alpha or Fas-ligand pathways to mediate apoptosis, inflammation or vasoconstriction. Optineurin may also function in cellular morphogenesis and membrane trafficking, vesicle trafficking, and transcription activation through its interactions with the RAB8, huntingtin, and transcription factor IIIA proteins. Alternative splicing results in multiple transcript variants encoding the same protein. [provided by RefSeq, Jul 2008]
  • Immunogen Recombinant protein of human Optineurin
  • Gene ID 10133
  • Swiss Prot Q96CV9
  • Synonyms NRP; FIP2; HIP7; HYPL; ALS12; GLC1E; TFIIIA-INTP
  • Reactivity Human
  • Application WB, IHC-P, ICC/IF, FC, IP
  • Recommended dilution WB: 1:1000
    IHC-P: 1:200-1:500
    ICC/IF: 1:500-1:1000
    FC: 1:20-1:50
    IP: 1:20-1:100
  • Calculated MW 66 kDa
  • Observed MW 75 kDa
  • Host species Rabbit
  • Clonality Monoclonal
  • Clonality No. DGR32102
  • Isotype IgG
  • Purity Affinity Purification
  • Conjugation Un-conjugated
  • Storage/Stability Store at -20°C. Supplied in 50mM Tris-Glycine(pH 7.4), 0.15M NaCl, 40% Glycerol, 0.01% sodium azide and 0.05% BSA. Stable for 12 months from date of receipt.
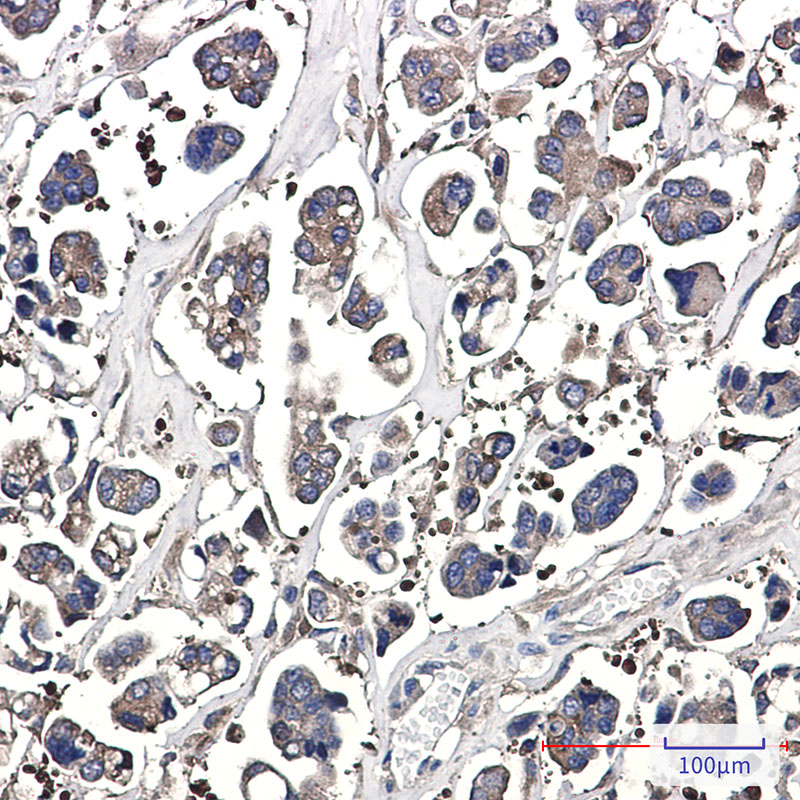
  • Immunohistochemical analysis of paraffin-embedded human Cholangiocarcinoma using db14275 antibody.
订购信息
  • Package Price (RMB)
  • 10μL 398
  • 20μL 698
  • 50μL 1398
  • 100μL 2398
  • 货期:现货
For research use only. Not intended for diagnostic.