产品中心 Products Center
ATP5G1/G2/G3 (DGR15206) Rabbit mAb

Product Name : ATP5G1/G2/G3 (DGR15206) Rabbit mAb

Cat.No.: db14308

Synonyms : ATP5A; ATP5G; ATP5G1

Application:

Reactivity : Human, Mouse, Rat

Host species : Rabbit

Conjugation/Formulation:Un-conjugated

  • Background This gene encodes a subunit of mitochondrial ATP synthase. Mitochondrial ATP synthase catalyzes ATP synthesis, utilizing an electrochemical gradient of protons across the inner membrane during oxidative phosphorylation. ATP synthase is composed of two linked multi-subunit complexes: the soluble catalytic core, F1, and the membrane-spanning component, Fo, comprising the proton channel. The catalytic portion of mitochondrial ATP synthase consists of 5 different subunits (alpha, beta, gamma, delta, and epsilon) assembled with a stoichiometry of 3 alpha, 3 beta, and a single representative of the other 3. The proton channel seems to have nine subunits (a, b, c, d, e, f, g, F6 and 8). This gene is one of three genes that encode subunit c of the proton channel. Each of the three genes have distinct mitochondrial import sequences but encode the identical mature protein. Alternatively spliced transcript variants encoding the same protein have been identified. [provided by RefSeq, Jul 2008]
  • Immunogen A synthetic peptide of human ATP5G1/G2/G3
  • Gene ID 516
  • Swiss Prot P05496
  • Synonyms ATP5A; ATP5G; ATP5G1
  • Reactivity Human,Mouse,Rat
  • Application WB, IHC-P
  • Recommended dilution WB: 1:1000-1:5000
    IHC-P: 1:100
  • Calculated MW 14 kDa
  • Observed MW 14 kDa
  • Host species Rabbit
  • Clonality Monoclonal
  • Clonality No. DGR15206
  • Isotype IgG
  • Purity Affinity Purification
  • Conjugation Un-conjugated
  • Storage/Stability Store at -20°C. Supplied in 50mM Tris-Glycine(pH 7.4), 0.15M NaCl, 40% Glycerol, 0.01% sodium azide and 0.05% BSA. Stable for 12 months from date of receipt.
  • Western blot detection of ATP5G1/G2/G3 in Jurkat,C6 cell lysates using ATP5G1/G2/G3 antibody(1:1000 diluted).
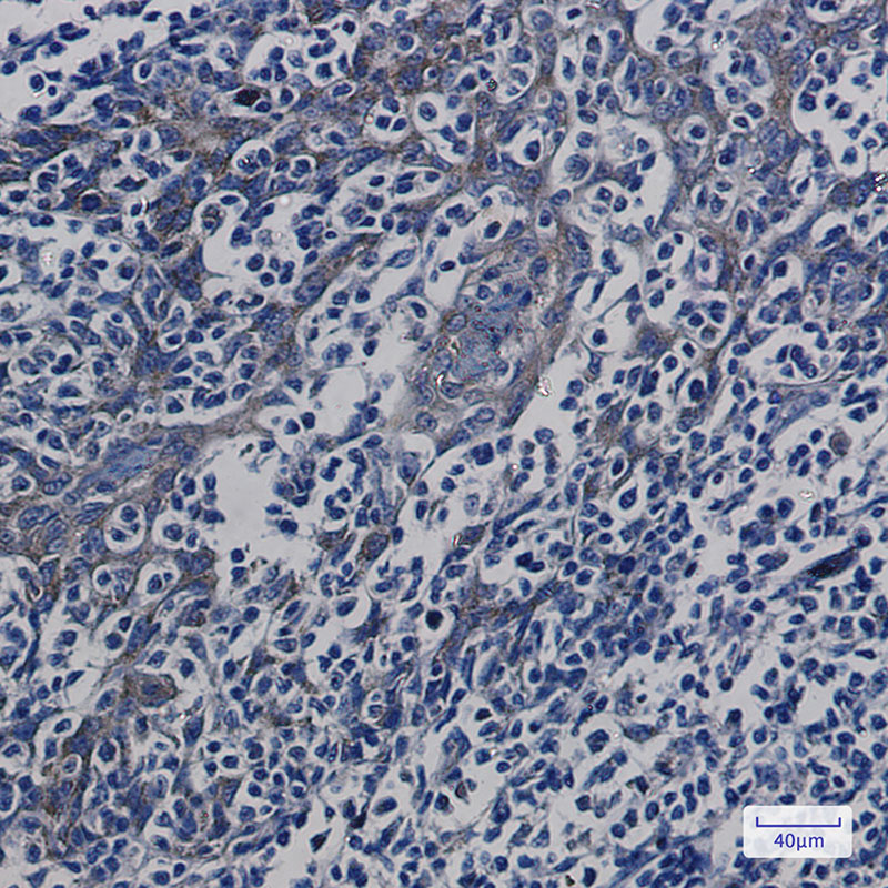
  • Immunohistochemical analysis of paraffin-embedded human tonsil using db14308 antibody.
订购信息
  • Package Price (RMB)
  • 10μL 398
  • 20μL 698
  • 50μL 1398
  • 100μL 2398
  • 货期:现货
For research use only. Not intended for diagnostic.