产品中心 Products Center
NDUFAF1 (DGR11514) Rabbit mAb (PBS Only)
db14329-PBS
Datasheet

Product Name : NDUFAF1 (DGR11514) Rabbit mAb (PBS Only)

Cat.No.: db14329-PBS

Synonyms : CGI65; CIA30; CGI-65

Application:

Reactivity : Human, Mouse, Rat

Host species : Rabbit

Conjugation/Formulation:PBS Only

  • Background This gene encodes a complex I assembly factor protein. Complex I (NADH-ubiquinone oxidoreductase) catalyzes the transfer of electrons from NADH to ubiquinone (coenzyme Q) in the first step of the mitochondrial respiratory chain, resulting in the translocation of protons across the inner mitochondrial membrane. The encoded protein is required for assembly of complex I, and mutations in this gene are a cause of mitochondrial complex I deficiency. Alternatively spliced transcript variants have been observed for this gene, and a pseudogene of this gene is located on the long arm of chromosome 19. [provided by RefSeq, Dec 2011]
  • Immunogen A synthetic peptide of human NDUFAF1
  • Gene ID 51103
  • Swiss Prot Q9Y375
  • Synonyms CGI65; CIA30; CGI-65
  • Reactivity Human,Mouse,Rat
  • Application WB, IHC-P, ICC/IF, FC
  • Recommended dilution WB: 1:2000-1:20000
    IHC-P: 1:100-1:200
    ICC/IF: 1:100-1:500
    FC: 1:100-1:200
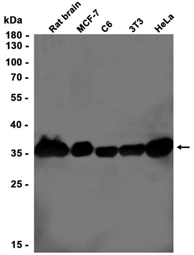
  • Calculated MW 38 kDa
  • Observed MW 35 kDa
  • Host species Rabbit
  • Clonality Monoclonal
  • Clonality No. DGR11514
  • Isotype IgG
  • Purity Affinity Purification
  • Conjugation Un-conjugated
  • Concentration 1 mg/ml
  • Formulation PBS Only
  • Storage/Stability Store at -20°C. Recommended to aliquot into single-use vials. Supplied in 1X PBS (pH 7.4). BSA and Azide Free. Stable for 12 months from date of receipt.
  • Western blot analysis of extracts from MCF-7, C6, 3T3, HeLa cells and Rat brain tissue using db14329 at 1:1000.
订购信息
  • Package Price (RMB)
  • 100μg 4498
  • 货期:现货
For research use only. Not intended for diagnostic.