产品中心 Products Center
RAB8A (DGR11431) Rabbit mAb

Product Name : RAB8A (DGR11431) Rabbit mAb

Cat.No.: db14334

Synonyms : MEL; RAB8

Application:

Reactivity : Human, Mouse, Rat

Host species : Rabbit

Conjugation/Formulation:Un-conjugated

  • Background The protein encoded by this gene is a member of the RAS superfamily which are small GTP/GDP-binding proteins with an average size of 200 amino acids. The RAS-related proteins of the RAB/YPT family may play a role in the transport of proteins from the endoplasmic reticulum to the Golgi and the plasma membrane. This protein shares 97%, 96%, and 51% similarity with the dog RAB8, mouse MEL, and mouse YPT1 proteins, respectively and contains the 4 GTP/GDP-binding sites that are present in all the RAS proteins. The putative effector-binding site of this protein is similar to that of the RAB/YPT proteins. However, this protein contains a C-terminal CAAX motif that is characteristic of many RAS superfamily members but which is not found in YPT1 and the majority of RAB proteins. Although this gene was isolated as a transforming gene from a melanoma cell line, no linkage between MEL and malignant melanoma has been demonstrable. This oncogene is located 800 kb distal to MY09B on chromosome 19p13.1. [provided by RefSeq, Jul 2008]
  • Immunogen A synthetic peptide of human RAB8A
  • Gene ID 4218
  • Swiss Prot P61006
  • Synonyms MEL; RAB8
  • Reactivity Human,Mouse,Rat
  • Application WB, IHC-P, ICC/IF, FC
  • Recommended dilution WB: 1:1000-1:5000
    IHC-P: 1:200-1:500
    ICC/IF: 1:200-1:500
    FC: 1:200
  • Calculated MW 24 kDa
  • Observed MW 24 kDa
  • Host species Rabbit
  • Clonality Monoclonal
  • Clonality No. DGR11431
  • Isotype IgG
  • Purity Affinity Purification
  • Conjugation Un-conjugated
  • Storage/Stability Store at -20°C. Supplied in 50mM Tris-Glycine(pH 7.4), 0.15M NaCl, 40% Glycerol, 0.01% sodium azide and 0.05% BSA. Stable for 12 months from date of receipt.
  • Western blot detection of RAB8A in K562,C6,3T3,Hela cell lysates using RAB8A antibody(1:1000 diluted).
  • Western blot analysis of extracts from MCF-7 cells using db14334 at 1:3000.
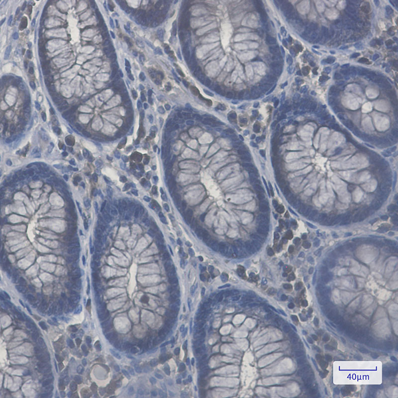
  • Immunohistochemical analysis of paraffin-embedded human colon cancer using db14334 antibody.
  • Immunofluorescent analysis of HeLa cells using db14334 antibody (green), and DAPI (blue).
订购信息
  • Package Price (RMB)
  • 10μL 398
  • 20μL 698
  • 50μL 1398
  • 100μL 2398
  • 货期:现货
For research use only. Not intended for diagnostic.