产品中心 Products Center
Phospho-EGFR (Tyr1068) (DGR13881) Rabbit mAb (PBS Only)
db14353-PBS
Datasheet

Product Name : Phospho-EGFR (Tyr1068) (DGR13881) Rabbit mAb (PBS Only)

Cat.No.: db14353-PBS

Synonyms : ERBB; HER1; mENA; ERBB1; PIG61; NISBD2

Application:

Reactivity : Human, Mouse

Host species : Rabbit

Conjugation/Formulation:PBS Only

  • Background The protein encoded by this gene is a transmembrane glycoprotein that is a member of the protein kinase superfamily. This protein is a receptor for members of the epidermal growth factor family. EGFR is a cell surface protein that binds to epidermal growth factor. Binding of the protein to a ligand induces receptor dimerization and tyrosine autophosphorylation and leads to cell proliferation. Mutations in this gene are associated with lung cancer. [provided by RefSeq, Jun 2016]
  • Immunogen A synthetic phosphopeptide corresponding to residues surrounding Tyr1068 of human EGFR
  • Gene ID 1956
  • Swiss Prot P00533
  • Synonyms ERBB; HER1; mENA; ERBB1; PIG61; NISBD2
  • Reactivity Human,Mouse
  • Application WB, IHC-P, ICC/IF, FC
  • Recommended dilution WB: 1:1000-1:5000
    IHC-P: 1:200-1:500
    ICC/IF: 1:200-1:500
    FC: 1:200-1:1000
  • Calculated MW 134 kDa
  • Observed MW 175 kDa
  • Host species Rabbit
  • Clonality Monoclonal
  • Clonality No. DGR13881
  • Isotype IgG
  • Purity Affinity Purification
  • Conjugation Un-conjugated
  • Concentration 1 mg/ml
  • Formulation PBS Only
  • Storage/Stability Store at -20°C. Recommended to aliquot into single-use vials. Supplied in 1X PBS (pH 7.4). BSA and Azide Free. Stable for 12 months from date of receipt.
  • Western blot detection of EGFR (Phospho-Tyr1092) in C6,3T3,Hela cell lysates using db14353(1:1000 diluted).
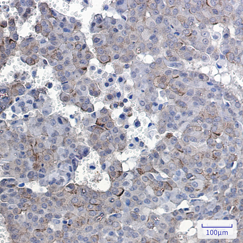
  • Immunohistochemical analysis of paraffin-embedded human breast cancer using db14353
订购信息
  • Package Price (RMB)
  • 100μg 5798
  • 货期:现货
For research use only. Not intended for diagnostic.