产品中心 Products Center
DKC1 (DGR14998) Rabbit mAb

Product Name : DKC1 (DGR14998) Rabbit mAb

Cat.No.: db14386

Synonyms : DKC; CBF5; DKCX; NAP57; NOLA4; XAP101

Application:

Reactivity : Human, Mouse, Rat

Host species : Rabbit

Conjugation/Formulation:Un-conjugated

  • Background This gene functions in two distinct complexes. It plays an active role in telomerase stabilization and maintenance, as well as recognition of snoRNAs containing H/ACA sequences which provides stability during biogenesis and assembly into H/ACA small nucleolar RNA ribonucleoproteins (snoRNPs). This gene is highly conserved and widely expressed, and may play additional roles in nucleo-cytoplasmic shuttling, DNA damage response, and cell adhesion. Mutations have been associated with X-linked dyskeratosis congenita. Alternative splicing results in multiple transcript variants. [provided by RefSeq, Jan 2014]
  • Immunogen A synthetic peptide of human DKC1
  • Gene ID 1736
  • Swiss Prot O60832
  • Synonyms DKC; CBF5; DKCX; NAP57; NOLA4; XAP101
  • Reactivity Human,Mouse,Rat
  • Application WB, IHC-P, ICC/IF
  • Recommended dilution WB: 1:1000-1:5000
    IHC-P: 1:50-1:100
    ICC/IF: 1:100-1:200
  • Calculated MW 58 kDa
  • Observed MW 58 kDa
  • Host species Rabbit
  • Clonality Monoclonal
  • Clonality No. DGR14998
  • Isotype IgG
  • Purity Affinity Purification
  • Conjugation Un-conjugated
  • Storage/Stability Store at -20°C. Supplied in 50mM Tris-Glycine(pH 7.4), 0.15M NaCl, 40% Glycerol, 0.01% sodium azide and 0.05% BSA. Stable for 12 months from date of receipt.
  • Western blot detection of DKC1 in K562,C6,3T3,Hela cell lysates using DKC1 antibody(1:1000 diluted).
  • Western blot analysis of extracts from HCT116 cells using db14386 at 1:3000.
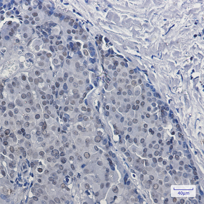
  • Immunohistochemical analysis of paraffin-embedded human breast cancer tissue using db14386 antibody.
  • Immunofluorescent analysis of K562 cells using db14386 antibody (green), and DAPI (blue).
订购信息
  • Package Price (RMB)
  • 10μL 398
  • 20μL 698
  • 50μL 1398
  • 100μL 2398
  • 货期:现货
For research use only. Not intended for diagnostic.