产品中心 Products Center
KAP1 (DGR18382) Rabbit mAb

Product Name : KAP1 (DGR18382) Rabbit mAb

Cat.No.: db14397

Synonyms : KAP1; TF1B; RNF96; TIF1B; PPP1R157

Application:

Reactivity : Human, Mouse, Rat

Host species : Rabbit

Conjugation/Formulation:Un-conjugated

  • Background The protein encoded by this gene mediates transcriptional control by interaction with the Kruppel-associated box repression domain found in many transcription factors. The protein localizes to the nucleus and is thought to associate with specific chromatin regions. The protein is a member of the tripartite motif family. This tripartite motif includes three zinc-binding domains, a RING, a B-box type 1 and a B-box type 2, and a coiled-coil region. [provided by RefSeq, Jul 2008]
  • Immunogen A synthetic peptide of human KAP1
  • Gene ID 10155
  • Swiss Prot Q13263
  • Synonyms KAP1; TF1B; RNF96; TIF1B; PPP1R157
  • Reactivity Human,Mouse,Rat
  • Application WB, IHC-P, ICC/IF
  • Recommended dilution WB: 1:1000-1:5000
    IHC-P: 1:200-1:500
    ICC/IF: 1:100-1:200
  • Calculated MW 89 kDa
  • Observed MW 100 kDa
  • Host species Rabbit
  • Clonality Monoclonal
  • Clonality No. DGR18382
  • Isotype IgG
  • Purity Affinity Purification
  • Conjugation Un-conjugated
  • Storage/Stability Store at -20°C. Supplied in 50mM Tris-Glycine(pH 7.4), 0.15M NaCl, 40% Glycerol, 0.01% sodium azide and 0.05% BSA. Stable for 12 months from date of receipt.
  • Western blot detection of KAP1 in K562,C6,3T3,Hela cell lysates using KAP1 antibody(1:1000 diluted).
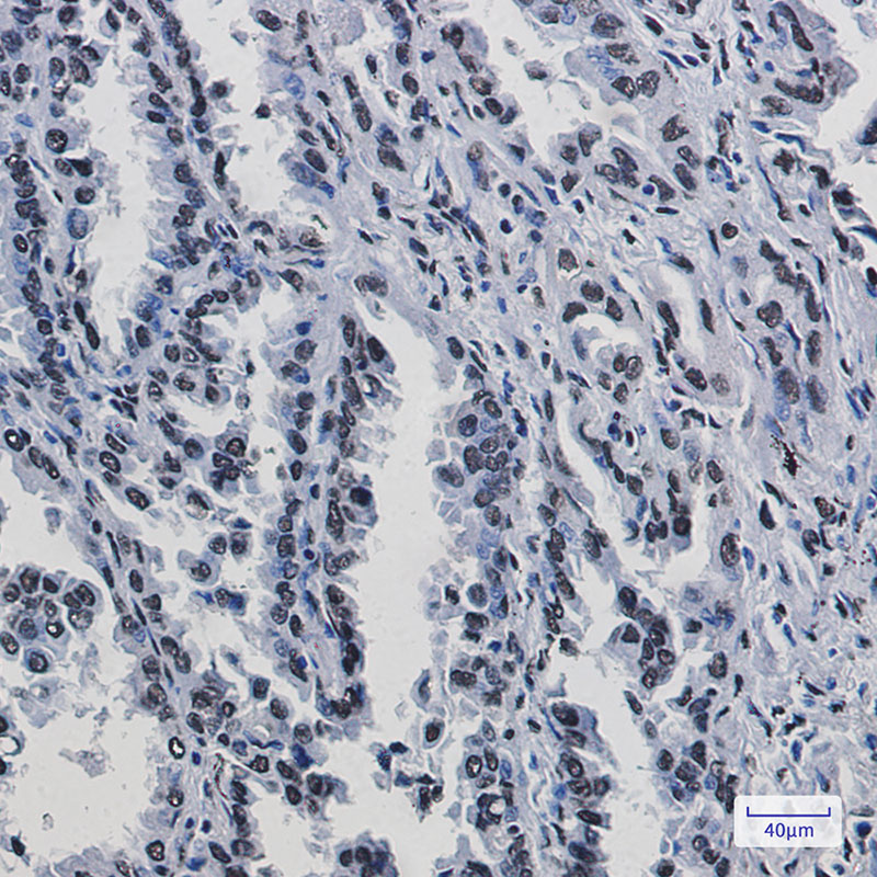
  • Immunohistochemical analysis of paraffin-embedded human lung cancer using db14397 antibody.
  • Immunofluorescent analysis of HeLa cells using db14397 antibody (green), and DAPI (blue).
订购信息
  • Package Price (RMB)
  • 10μL 398
  • 20μL 698
  • 50μL 1398
  • 100μL 2398
  • 货期:现货
For research use only. Not intended for diagnostic.