产品中心 Products Center
TTC11 (DGR15592) Rabbit mAb

Product Name : TTC11 (DGR15592) Rabbit mAb

Cat.No.: db14626

Synonyms : TTC11; CGI-135;FIS1

Application:

Reactivity : Human

Host species : Rabbit

Conjugation/Formulation:Un-conjugated

  • Background The balance between fission and fusion regulates the morphology of mitochondria. TTC11 is a component of a mitochondrial complex that promotes mitochondrial fission (James et al., 2003 [PubMed 12783892]).[supplied by OMIM, Mar 2008]
  • Immunogen A synthetic peptide of human TTC11
  • Gene ID 51024
  • Swiss Prot Q9Y3D6
  • Synonyms TTC11; CGI-135;FIS1
  • Reactivity Human
  • Application WB, IHC-P
  • Recommended dilution WB: 1:1000-1:5000
    IHC-P: 1:1000-1:5000
  • Calculated MW 17 kDa
  • Observed MW 17 kDa
  • Host species Rabbit
  • Clonality Monoclonal
  • Clonality No. DGR15592
  • Isotype IgG
  • Purity Affinity Purification
  • Conjugation Un-conjugated
  • Storage/Stability Store at -20°C. Supplied in 50mM Tris-Glycine(pH 7.4), 0.15M NaCl, 40% Glycerol, 0.01% sodium azide and 0.05% BSA. Stable for 12 months from date of receipt.
  • Western blot detection of TTC11/FIS1 in Jurkat,Hela cell lysates using TTC11/FIS1 antibody(1:1000 diluted).
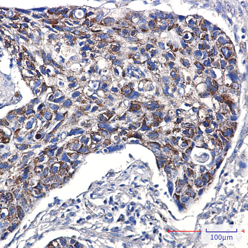
  • Immunohistochemical analysis of paraffin-embedded human lung cancer using db14626 antibody.
订购信息
  • Package Price (RMB)
  • 10μL 398
  • 20μL 698
  • 50μL 1398
  • 100μL 2398
  • 货期:现货
For research use only. Not intended for diagnostic.