产品中心 Products Center
Nampt (DGR16241) Rabbit mAb

Product Name : Nampt (DGR16241) Rabbit mAb

Cat.No.: db14804

Synonyms : VF; PBEF; PBEF1; VISFATIN; 1110035O14Rik

Application:

Reactivity : Human, Mouse, Rat

Host species : Rabbit

Conjugation/Formulation:Un-conjugated

  • Background This gene encodes a protein that catalyzes the condensation of nicotinamide with 5-phosphoribosyl-1-pyrophosphate to yield nicotinamide mononucleotide, one step in the biosynthesis of nicotinamide adenine dinucleotide. The protein belongs to the nicotinic acid phosphoribosyltransferase (NAPRTase) family and is thought to be involved in many important biological processes, including metabolism, stress response and aging. This gene has a pseudogene on chromosome 10. [provided by RefSeq, Feb 2011]
  • Immunogen A synthetic peptide of human Visfatin
  • Gene ID 10135
  • Swiss Prot P43490
  • Synonyms VF; PBEF; PBEF1; VISFATIN; 1110035O14Rik
  • Reactivity Human,Mouse,Rat
  • Application WB, IHC-P, ICC/IF, FC, IP
  • Recommended dilution WB: 1:1000
    IHC-P: 1:200-1:2000
    ICC/IF: 1:100
    FC: 1:200-1:500
    IP: 1:20-1:50
  • Calculated MW 56 kDa
  • Observed MW 56 kDa
  • Host species Rabbit
  • Clonality Monoclonal
  • Clonality No. DGR16241
  • Isotype IgG
  • Purity Affinity Purification
  • Conjugation Un-conjugated
  • Storage/Stability Store at -20°C. Supplied in 50mM Tris-Glycine(pH 7.4), 0.15M NaCl, 40% Glycerol, 0.01% sodium azide and 0.05% BSA. Stable for 12 months from date of receipt.
  • Western blot analysis of extracts from 3T3, RAW264.7 cells using db14804 at 1:1000.
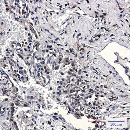
  • Immunohistochemical analysis of paraffin-embedded human lung cancer using db14804 antibody.
  • Immunofluorescent analysis of U87-MG cells using db14804 antibody (green), and DAPI (blue).
  • Western blot analysis of extracts from K562, HT-1080, PC-3 cells using db14804 at 1:1000.
  • Western blot analysis of extracts from HeLa, A549, HL-60, U2OS, C6 cells using db14804 at 1:1000.
订购信息
  • Package Price (RMB)
  • 10μL 398
  • 20μL 698
  • 50μL 1398
  • 100μL 2398
  • 货期:现货
For research use only. Not intended for diagnostic.