产品中心 Products Center
Phospho-ErbB 4 (Tyr1162) (DGR34251) Rabbit mAb

Product Name : Phospho-ErbB 4 (Tyr1162) (DGR34251) Rabbit mAb

Cat.No.: db14828

Synonyms : HER4; ALS19; p180erbB4

Application:

Reactivity : Human

Host species : Rabbit

Conjugation/Formulation:Un-conjugated

  • Background This gene is a member of the Tyr protein kinase family and the epidermal growth factor receptor subfamily. It encodes a single-pass type I membrane protein with multiple cysteine rich domains, a transmembrane domain, a tyrosine kinase domain, a phosphotidylinositol-3 kinase binding site and a PDZ domain binding motif. The protein binds to and is activated by neuregulins and other factors and induces a variety of cellular responses including mitogenesis and differentiation. Multiple proteolytic events allow for the release of a cytoplasmic fragment and an extracellular fragment. Mutations in this gene have been associated with cancer. Alternatively spliced variants which encode different protein isoforms have been described; however, not all variants have been fully characterized. [provided by RefSeq, Jul 2008]
  • Immunogen A synthetic phosphopeptide corresponding to residues surrounding Tyr1162 of human ErbB 4
  • Gene ID 2066
  • Swiss Prot Q15303
  • Synonyms HER4; ALS19; p180erbB4
  • Reactivity Human
  • Application WB, IHC-P, IP
  • Recommended dilution WB: 1:1000-1:5000
    IHC-P: 1:200-1:1000
    IP: 1:20
  • Calculated MW 147 kDa
  • Observed MW 180 kDa
  • Host species Rabbit
  • Clonality Monoclonal
  • Clonality No. DGR34251
  • Isotype IgG
  • Purity Affinity Purification
  • Conjugation Un-conjugated
  • Storage/Stability Store at -20°C. Supplied in 50mM Tris-Glycine(pH 7.4), 0.15M NaCl, 40% Glycerol, 0.01% sodium azide and 0.05% BSA. Stable for 12 months from date of receipt.
  • Western blot detection of ErbB 4 (phospho-Tyr1162) in Hela,A549 cell lysates using ErbB 4 (phospho-Tyr1162) antibody(1:1000 diluted).
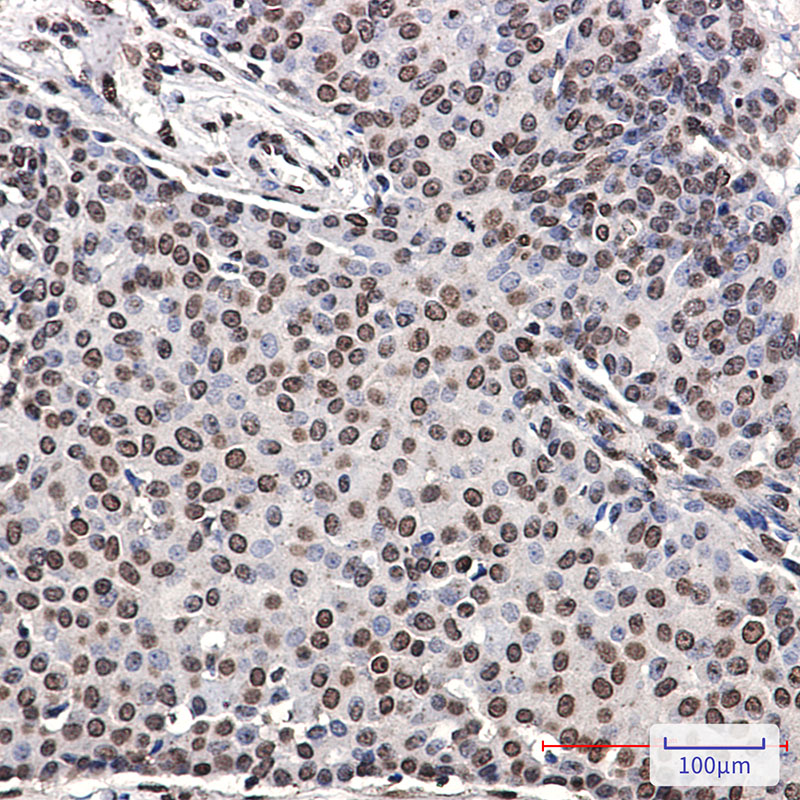
  • Immunohistochemical analysis of paraffin-embedded human breast cancer using db14828 antibody.
订购信息
  • Package Price (RMB)
  • 10μL 398
  • 20μL 698
  • 50μL 1398
  • 100μL 2398
  • 货期:现货
For research use only. Not intended for diagnostic.