产品中心 Products Center
PLAP (BPM6151) Mouse mAb
db30130
Datasheet

Product Name : PLAP (BPM6151) Mouse mAb

Cat.No.: db30130

Synonyms : ALP; PALP; PLAP; PLAP-1

Application:

Reactivity : Human

Host species : Mouse

Conjugation/Formulation:Un-conjugated

  • Background Placental alkaline phosphatase (PLAP) is a membrane-associated sialoglycoprotein enzyme normally present at high concentration in syncytiotrophoblasts within the placenta during the third trimester of gestation.
  • Immunogen Keeping secret
  • Swiss Prot P05187
  • Synonyms ALP; PALP; PLAP; PLAP-1
  • Reactivity Human
  • Application IHC
  • Recommended dilution IHC: 1:100-1:200
  • Calculated MW 70 kDa
  • Host species Mouse
  • Clonality Monoclonal
  • Clonality No. BPM6151
  • Isotype IgG
  • Purity Affinity Purification
  • Conjugation Un-conjugated
  • Storage/Stability Store at -20°C. Supplied in 50mM Tris-Glycine(pH 7.4), 0.15M NaCl, 40% Glycerol, 0.01% sodium azide and 0.05% BSA. Stable for 12 months from date of receipt.
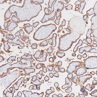
  • Immunohistochemistry of paraffin-embedded human placenta using PLAP antibody at dilution of 1:200 (200x lens).
订购信息
  • Package Price (RMB)
  • 100μL 1798
  • 货期:现货
For research use only. Not intended for diagnostic.