产品中心 Products Center
Ku80 (8H1) Mouse mAb

Product Name : Ku80 (8H1) Mouse mAb

Cat.No.: db6224

Synonyms : KU80; KUB2; Ku86; NFIV; KARP1; KARP-1

Application:

Reactivity : Human, Monkey

Host species : Mouse

Conjugation/Formulation:Un-conjugated

  • Background Single-stranded DNA-dependent ATP-dependent helicase. Has a role in chromosome translocation. The DNA helicase II complex binds preferentially to fork-like ends of double-stranded DNA in a cell cycle-dependent manner. It works in the 3'-5' direction. Binding to DNA may be mediated by XRCC6. Involved in DNA non-homologous end joining (NHEJ) required for double-strand break repair and V(D)J recombination. The XRCC5/6 dimer acts as regulatory subunit of the DNA-dependent protein kinase complex DNA-PK by increasing the affinity of the catalytic subunit PRKDC to DNA by 100-fold. The XRCC5/6 dimer is probably involved in stabilizing broken DNA ends and bringing them together. The assembly of the DNA-PK complex to DNA ends is required for the NHEJ ligation step. In association with NAA15, the XRCC5/6 dimer binds to the osteocalcin promoter and activates osteocalcin expression. The XRCC5/6 dimer probably also acts as a 5'-deoxyribose-5-phosphate lyase (5'-dRP lyase), by catalyzing the beta-elimination of the 5' deoxyribose-5-phosphate at an abasic site near double-strand breaks. XRCC5 probably acts as the catalytic subunit of 5'-dRP activity, and allows to 'clean' the termini of abasic sites, a class of nucleotide damage commonly associated with strand breaks, before such broken ends can be joined. The XRCC5/6 dimer together with APEX1 acts as a negative regulator of transcription.
  • Immunogen Purified recombinant human Ku80 protein fragments expressed in E.coli
  • Gene ID 7520
  • Swiss Prot P13010
  • Synonyms KU80; KUB2; Ku86; NFIV; KARP1; KARP-1
  • Reactivity Human, Monkey
  • Application WB, ICC/IF, IP, ChIP
  • Recommended dilution WB: 1:500-1:1000
    ICC/IF: 1:50-1:200
    IP: 1:20
    ChIP: 1:20
  • Calculated MW 83 kDa
  • Observed MW 86 kDa
  • Host species Mouse
  • Clonality Monoclonal
  • Clonality No. 8H1-C3-G10
  • Isotype IgG1
  • Purity Affinity Purification
  • Conjugation Un-conjugated
  • Storage/Stability Store at -20°C. Supplied in PBS, 50% Glycerol(pH 7.3), 0.02% sodium azide and 0.5% BSA . Stable for 12 months from date of receipt.
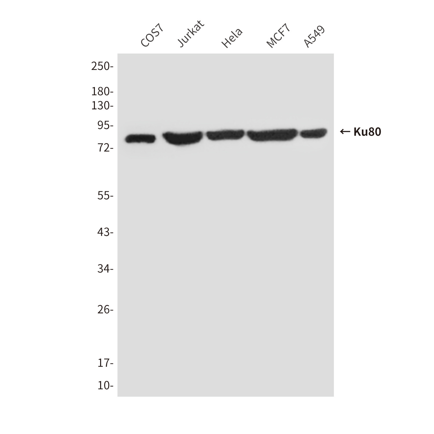
  • Western blot analysis of Ku80 in COS7, Jurkat, Hela, MCF-7 and A549 lysates using Ku80 antibody.
  • Immunofluorescence analysis of Ku80 (8H1) in Hela using Ku80 antibody.
  • Immunoprecipitation analysis of Ku80 (8H1) in Hela lysates using Ku8 antibody.
订购信息
  • Package Price (RMB)
  • 50μL 1398
  • 100μL 2398
  • 货期:现货
For research use only. Not intended for diagnostic.