产品中心 Products Center
E-Cadherin (6B10) Mouse mAb

Product Name : E-Cadherin (6B10) Mouse mAb

Cat.No.: db6304

Synonyms : CDH1; CDHE; UVO; Cadherin-1; CAM 120/80; Epithelial cadherin; E-cadherin; Uvomorulin; CD antigen CD324

Application:

Reactivity : Human, Mouse

Host species : Mouse

Conjugation/Formulation:Un-conjugated

  • Background Cadherins are calcium-dependent cell adhesion proteins. They preferentially interact with themselves in a homophilic manner in connecting cells; cadherins may thus contribute to the sorting of heterogeneous cell types. CDH1 is involved in mechanisms regulating cell-cell adhesions, mobility and proliferation of epithelial cells. Has a potent invasive suppressor role. It is a ligand for integrin alpha-E/beta-7. E-Cad/CTF2 promotes non-amyloidogenic degradation of Abeta precursors. Has a strong inhibitory effect on APP C99 and C83 production.
  • Immunogen A synthesized peptide derived from human E-Cadherin
  • Gene ID 999
  • Swiss Prot P12830
  • Synonyms CDH1; CDHE; UVO; Cadherin-1; CAM 120/80; Epithelial cadherin; E-cadherin; Uvomorulin; CD antigen CD324
  • Reactivity Human, Mouse
  • Application WB, IHC-P
  • Recommended dilution WB: 1:500-1:1000
    IHC: 1:50-1:100
  • Calculated MW 97 kDa
  • Observed MW 135 kDa
  • Host species Mouse
  • Clonality Monoclonal
  • Clonality No. 6B10-F4-G10
  • Isotype IgG1
  • Purity Affinity Purification
  • Conjugation Un-conjugated
  • Storage/Stability Store at -20°C. Supplied in PBS, 50% Glycerol(pH 7.3), 0.02% sodium azide and 0.5% BSA . Stable for 12 months from date of receipt.
  • Western blot analysis of ECadherin in T47D, HCT116, MDA-MB-468 and Caco2 lysates using ECadherin antibody.
  • Western blot analysis of E Cadherin (6B10) in mouse embryos and HCT116 lysates using ECadherin antibody.
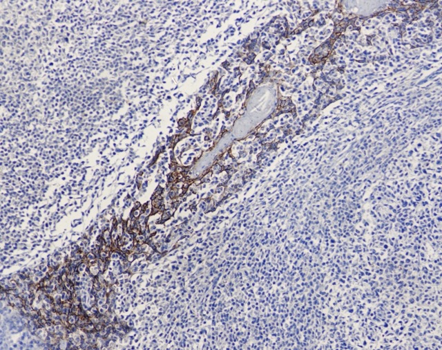
  • Immunohistochemistry analysis of paraffin-embedded Human tonsils using ECadherin (6B1) antibody. High-pressure and temperature Sodium Citrate pH 6.0 was used for antigen retrieval.
订购信息
  • Package Price (RMB)
  • 50μL 1398
  • 100μL 2398
  • 货期:现货
For research use only. Not intended for diagnostic.