产品中心 Products Center
beta Actin (10F1) Mouse mAb

Product Name : beta Actin (10F1) Mouse mAb

Cat.No.: db6496

Synonyms : ACTIN; ACTB; BETA-ACTIN; beta actin; actin beta

Application:

Reactivity : Human, Mouse, Rat, Monkey, Dog, Chicken, Hamster, Rabbit, Insect

Host species : Mouse

Conjugation/Formulation:Un-conjugated

  • Background Actins are highly conserved proteins that are involved in various types of cell motility and are ubiquitously expressed in all eukaryotic cells.MiscellaneousIn vertebrates 3 main groups of actin isoforms, alpha, beta and gamma have been identified. The alpha actins are found in muscle tissues and are a major constituent of the contractile apparatus. The beta and gamma actins coexist in most cell types as components of the cytoskeleton and as mediators of internal cell motility.
  • Immunogen Synthetic Peptide of β-actin
  • Gene ID 60
  • Swiss Prot P60709
  • Synonyms ACTIN; ACTB; BETA-ACTIN; beta actin; actin beta
  • Reactivity Human, Mouse, Rat, Monkey, Dog, Chicken, Hamster, Rabbit, Insect
  • Application ICC/IF, WB, IHC-Fr, IHC-P
  • Recommended dilution WB: 1:5000-1:10000
    IHC: 1:50-1:200
    ICC/IF: 1:100-1:200
  • Calculated MW 42 kDa
  • Observed MW 42 kDa
  • Host species Mouse
  • Clonality Monoclonal
  • Clonality No. 10F1-3A3-3B1
  • Isotype IgG1
  • Purity Affinity Purification
  • Conjugation Un-conjugated
  • Storage/Stability Store at -20°C. Supplied in PBS, 50% Glycerol(pH 7.3), 0.02% sodium azide and 0.5% BSA . Stable for 12 months from date of receipt.
  • Western blot analysis of beta actin in MCF-7, 3T3, rat Brain, Jurkat and Hela lysates using beta actin antibody.
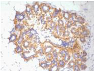
  • Immunohistochemistry analysis of paraffin-embedded Human ovary tissue using beta Actin antibody.High-pressure and temperature Sodium Citrate pH 6.0 was used for antigen retrieval.
  • Western blot analysis of beta Actin in Hela, rat brain , mouse brain, Chicken lung and Rabbit testis using beta Actin (10F1) antibody.
  • Western blot analysis of βActin in CHO-K1, rat brain, C6, 3T3, Hela lysates using βActin (10F1) antibody.
订购信息
  • Package Price (RMB)
  • 100μL 1200
  • 500μL 4800
  • 1mL 8600
  • 货期:现货
For research use only. Not intended for diagnostic.