产品中心 Products Center
gamma Tubulin (9B5) Mouse mAb

Product Name : gamma Tubulin (9B5) Mouse mAb

Cat.No.: db6554

Synonyms : TUBG1; TUBG; Tubulin gamma-1 chain; Gamma-1-tubulin; Gamma-tubulin complex component 1; GCP-1

Application:

Reactivity : Human

Host species : Mouse

Conjugation/Formulation:Un-conjugated

  • Background Tubulin is the major constituent of microtubules. The gamma chain is found at microtubule organizing centers (MTOC) such as the spindle poles or the centrosome. Pericentriolar matrix component that regulates alpha/beta chain minus-end nucleation, centrosome duplication and spindle formation.RegionsFeature keyPosition(s)Description
  • Immunogen Synthetic peptide conjugated to KLH
  • Gene ID 7283
  • Swiss Prot P23258
  • Synonyms TUBG1; TUBG; Tubulin gamma-1 chain; Gamma-1-tubulin; Gamma-tubulin complex component 1; GCP-1
  • Reactivity Human
  • Application IHC-P
  • Recommended dilution IHC: 1:50-1:100
  • Calculated MW 50 kDa
  • Host species Mouse
  • Clonality Monoclonal
  • Clonality No. 9B5-2A5-7C5
  • Isotype IgG1
  • Purity Affinity Purification
  • Conjugation Un-conjugated
  • Storage/Stability Store at -20°C. Supplied in PBS, 50% Glycerol(pH 7.3), 0.02% sodium azide and 0.5% BSA . Stable for 12 months from date of receipt.
  • Immunohistochemistry analysis of paraffin-embedded Human Colon Carcinoma Tissue using gamma Tubulin (9B5) antibody.High-pressure and temperature Sodium Citrate pH 6.0 was used for antigen retrieval.
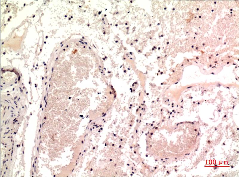
  • Immunohistochemical analysis of paraffin-embedded Human tonsils using gamma Tubulin (9B5) antibody.High-pressure and temperature Sodium Citrate pH 6.0 was used for antigen retrieval.
订购信息
  • Package Price (RMB)
  • 50μL 1398
  • 100μL 2398
  • 货期:现货
For research use only. Not intended for diagnostic.