产品中心 Products Center
epsilon Tubulin (4C4) Mouse mAb

Product Name : epsilon Tubulin (4C4) Mouse mAb

Cat.No.: db6558

Synonyms : FLJ22589;TUBE1;tubulin epsilon 1; ε tubulin

Application:

Reactivity : Human, Rat, Mouse

Host species : Mouse

Conjugation/Formulation:Un-conjugated

  • Background RegionsFeature keyPosition(s)Description
  • Immunogen Synthetic peptide conjugated to KLH
  • Gene ID 51175
  • Swiss Prot Q9UJT0
  • Synonyms FLJ22589;TUBE1;tubulin epsilon 1; ε tubulin
  • Reactivity Human, Rat, Mouse
  • Application IHC-P
  • Recommended dilution IHC: 1:50-1:100
  • Calculated MW 55 kDa
  • Host species Mouse
  • Clonality Monoclonal
  • Clonality No. 4C4-4H9-8C8
  • Isotype IgG1
  • Purity Affinity Purification
  • Conjugation Un-conjugated
  • Storage/Stability Store at -20°C. Supplied in PBS, 50% Glycerol(pH 7.3), 0.02% sodium azide and 0.5% BSA . Stable for 12 months from date of receipt.
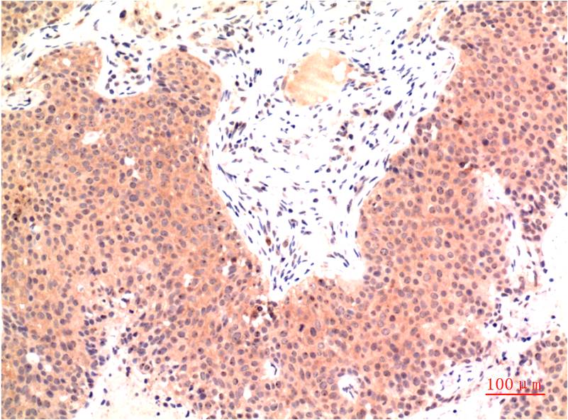
  • Immunohistochemistry analysis of paraffin-embedded Human Colon CarcinomaTissue using epsilon Tubulin (4C4) antibody.High-pressure and temperature Sodium Citrate pH 6.0 was used for antigen retrieval.
  • Immunohistochemical analysis of paraffin-embedded Human tonsils using epsilon Tubulin (4C4) antibody.High-pressure and temperature Sodium Citrate pH 6.0 was used for antigen retrieval.
订购信息
  • Package Price (RMB)
  • 50μL 1398
  • 100μL 2398
  • 货期:现货
For research use only. Not intended for diagnostic.