产品中心 Products Center
Phospho-PAK1/2/3 (Ser144/Ser141/Ser154) (DGR19432) Rabbit mAb (PBS Only)
db11225-PBS
Datasheet

Product Name : Phospho-PAK1/2/3 (Ser144/Ser141/Ser154) (DGR19432) Rabbit mAb (PBS Only)

Cat.No.: db11225-PBS

Synonyms : PAKalpha

Application:

Reactivity : Human, Mouse, Rat

Host species : Rabbit

Conjugation/Formulation:PBS Only

  • Background This gene encodes a family member of serine/threonine p21-activating kinases, known as PAK proteins. These proteins are critical effectors that link RhoGTPases to cytoskeleton reorganization and nuclear signaling, and they serve as targets for the small GTP binding proteins Cdc42 and Rac. This specific family member regulates cell motility and morphology. Alternatively spliced transcript variants encoding different isoforms have been found for this gene. [provided by RefSeq, Apr 2010]
  • Immunogen A synthetic phosphopeptide corresponding to residues surrounding Ser144 of human PAK1
  • Gene ID 5058
  • Swiss Prot O75914
  • Synonyms PAKalpha
  • Reactivity Human,Mouse,Rat
  • Application WB, IHC-P, ICC/IF, FC, IP
  • Recommended dilution WB: 1:2000-1:20000
    IHC-P: 1:100-1:500
    ICC/IF: 1:200-1:500
    FC: 1:100
    IP: 1:20-1:50
  • Calculated MW 61 kDa
  • Observed MW 61 kDa
  • Host species Rabbit
  • Clonality Monoclonal
  • Clonality No. DGR19432
  • Isotype IgG
  • Purity Affinity Purification
  • Conjugation Un-conjugated
  • Concentration 1 mg/ml
  • Formulation PBS Only
  • Storage/Stability Store at -20°C. Recommended to aliquot into single-use vials. Supplied in 1X PBS (pH 7.4). BSA and Azide Free. Stable for 12 months from date of receipt.
  • Western blot detection of PAK1 (Phospho-Ser144)/PAK2 (Phospho-Ser141)/PAK3 (Phospho-Ser154) in C6,3T3,Hela cell lysates using db11225(1:1000 diluted).
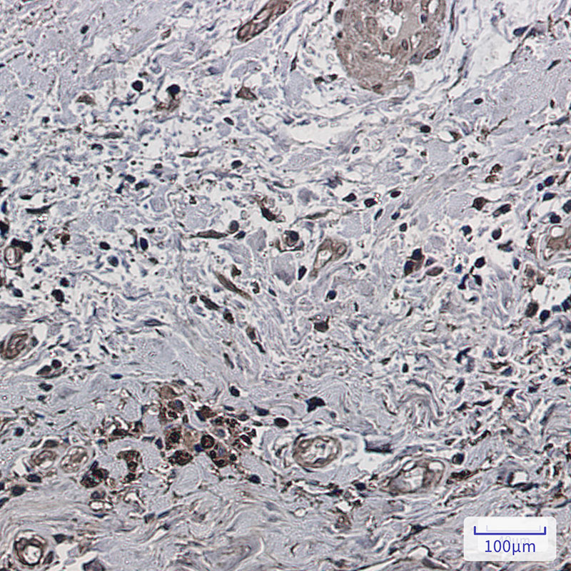
  • Immunohistochemical analysis of paraffin-embedded human breast cancer using db11225
订购信息
  • Package Price (RMB)
  • 100μg 5798
  • 货期:现货
For research use only. Not intended for diagnostic.