产品中心 Products Center
CREB Regulated Transcription Coactivator 2 (DGR31742) Rabbit mAb

Product Name : CREB Regulated Transcription Coactivator 2 (DGR31742) Rabbit mAb

Cat.No.: db11256

Synonyms : TORC2; TORC-2

Application:

Reactivity : Human, Rat

Host species : Rabbit

Conjugation/Formulation:Un-conjugated

  • Background This gene encodes a member of the transducers of regulated cAMP response element-binding protein activity family of transcription coactivators. These proteins promote the transcription of genes targeted by the cAMP response element-binding protein, and therefore play an important role in many cellular processes. Under basal conditions the encoded protein is phosphorylated by AMP-activated protein kinase or the salt-inducible kinases and is sequestered in the cytoplasm. Upon activation by elevated cAMP or calcium, the encoded protein translocates to the nucleus and increases target gene expression. Single nucleotide polymorphisms in this gene may increase the risk of type 2 diabetes. A pseudogene of this gene is located on the long arm of chromosome 5. [provided by RefSeq, Dec 2010]
  • Immunogen A synthetic peptide of human TORC2
  • Gene ID 200186
  • Swiss Prot Q53ET0
  • Synonyms TORC2; TORC-2
  • Reactivity Human,Rat
  • Application WB, IHC-P
  • Recommended dilution WB: 1:1000-1:5000
    IHC-P: 1:100-1:200
  • Calculated MW 73 kDa
  • Observed MW 80 kDa
  • Host species Rabbit
  • Clonality Monoclonal
  • Clonality No. DGR31742
  • Isotype IgG
  • Purity Affinity Purification
  • Conjugation Un-conjugated
  • Storage/Stability Store at -20°C. Supplied in 50mM Tris-Glycine(pH 7.4), 0.15M NaCl, 40% Glycerol, 0.01% sodium azide and 0.05% BSA. Stable for 12 months from date of receipt.
  • Western blot detection of TORC2 in A549,HL-60,U251 cell lysates using TORC2 antibody(1:1000 diluted).
  • Western blot analysis of extracts from HeLa cells using db11256 at 1:1000.
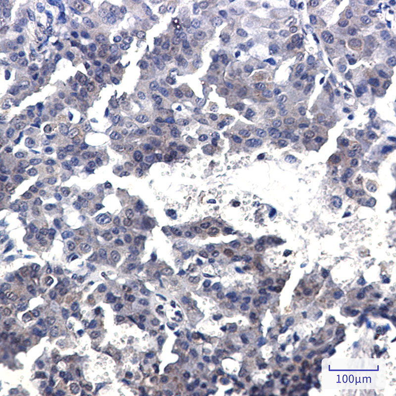
  • Immunohistochemical analysis of paraffin-embedded human breast cancer using db11256 antibody.
订购信息
  • Package Price (RMB)
  • 10μL 398
  • 20μL 698
  • 50μL 1398
  • 100μL 2398
  • 货期:现货
For research use only. Not intended for diagnostic.