产品中心 Products Center
EBP1 (DGR31539) Rabbit mAb

Product Name : EBP1 (DGR31539) Rabbit mAb

Cat.No.: db11736

Synonyms : EBP1; HG4-1; p38-2G4

Application:

Reactivity : Human, Mouse, Rat

Host species : Rabbit

Conjugation/Formulation:Un-conjugated

  • Background This gene encodes an RNA-binding protein that is involved in growth regulation. This protein is present in pre-ribosomal ribonucleoprotein complexes and may be involved in ribosome assembly and the regulation of intermediate and late steps of rRNA processing. This protein can interact with the cytoplasmic domain of the ErbB3 receptor and may contribute to transducing growth regulatory signals. This protein is also a transcriptional co-repressor of androgen receptor-regulated genes and other cell cycle regulatory genes through its interactions with histone deacetylases. This protein has been implicated in growth inhibition and the induction of differentiation of human cancer cells. Six pseudogenes, located on chromosomes 3, 6, 9, 18, 20 and X, have been identified. [provided by RefSeq, Jul 2008]
  • Immunogen A synthetic peptide of human EBP1
  • Gene ID 5036
  • Swiss Prot Q9UQ80
  • Synonyms EBP1; HG4-1; p38-2G4
  • Reactivity Human,Mouse,Rat
  • Application WB, IHC-P, ICC/IF, FC
  • Recommended dilution WB: 1:2000-1:20000
    IHC-P: 1:50-1:100
    ICC/IF: 1:100
    FC: 1:20-1:50
  • Calculated MW 44 kDa
  • Observed MW 44 kDa
  • Host species Rabbit
  • Clonality Monoclonal
  • Clonality No. DGR31539
  • Isotype IgG
  • Purity Affinity Purification
  • Conjugation Un-conjugated
  • Storage/Stability Store at -20°C. Supplied in 50mM Tris-Glycine(pH 7.4), 0.15M NaCl, 40% Glycerol, 0.01% sodium azide and 0.05% BSA. Stable for 12 months from date of receipt.
  • Western blot analysis of extracts from CHO-K1, C6, Ramos cells using db11736 at 1:1000.
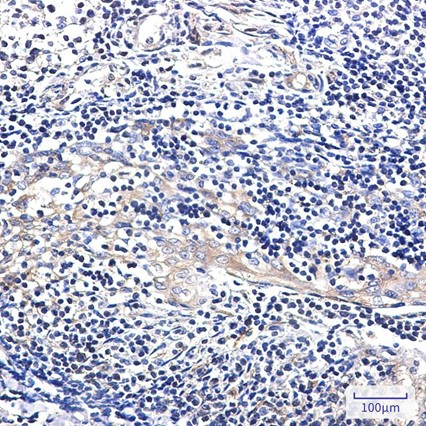
  • Immunohistochemical analysis of paraffin-embedded human tonsil using db11736 antibody.
  • Western blot analysis of extracts from 3T3 cells and Mouse liver tissue using db11736 at 1:1000.
  • Immunofluorescence analysis of HeLa cells labelling EBP1 with db11736.

    The cells were fixed with cold 100% methanol (10min, 4℃) and blocked in 1% BSA/10% normal goat serum/0.3M glycine in 0.1% PBS-Tween 20 for 1h. The cells were then incubate with db11736 (1:100) at room temprature for 1h, followed by a further incubation at room temperature for 45min with Goat Anti Rabbit lgG (H+L)-AF488 (db10005, shown in green). Nuclear DNA was labeled in blue with DAPI.

    Control: Secondary antibody only.
订购信息
  • Package Price (RMB)
  • 10μL 398
  • 20μL 698
  • 50μL 1398
  • 100μL 2398
  • 货期:现货
For research use only. Not intended for diagnostic.