产品中心 Products Center
DCI (DGR19369) Rabbit mAb

Product Name : DCI (DGR19369) Rabbit mAb

Cat.No.: db13373

Synonyms : DCI

Application:

Reactivity : Human, Mouse, Rat

Host species : Rabbit

Conjugation/Formulation:Un-conjugated

  • Background This gene encodes a member of the hydratase/isomerase superfamily. The protein encoded is a key mitochondrial enzyme involved in beta-oxidation of unsaturated fatty acids. It catalyzes the transformation of 3-cis and 3-trans-enoyl-CoA esters arising during the stepwise degradation of cis-, mono-, and polyunsaturated fatty acids to the 2-trans-enoyl-CoA intermediates. Alternatively spliced transcript variants have been described. [provided by RefSeq, May 2010]
  • Immunogen A synthetic peptide of human DCI
  • Gene ID 1632
  • Swiss Prot P42126
  • Synonyms DCI
  • Reactivity Human,Mouse,Rat
  • Application WB, IHC-P, ICC/IF, FC
  • Recommended dilution WB: 1:2000-1:20000
    IHC-P: 1:50-1:100
    ICC/IF: 1:100
    FC: 1:100-1:200
  • Calculated MW 33 kDa
  • Observed MW 33 kDa
  • Host species Rabbit
  • Clonality Monoclonal
  • Clonality No. DGR19369
  • Isotype IgG
  • Purity Affinity Purification
  • Conjugation Un-conjugated
  • Storage/Stability Store at -20°C. Supplied in 50mM Tris-Glycine(pH 7.4), 0.15M NaCl, 40% Glycerol, 0.01% sodium azide and 0.05% BSA. Stable for 12 months from date of receipt.
  • Western blot analysis of extracts from K562, C6, 3T3, HeLa cells and Rat brain tissue using db13373 at 1:1000.
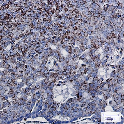
  • Immunohistochemical analysis of paraffin-embedded human breast cancer using db13373 antibody.
  • Immunofluorescence analysis of MCF-7 cells labelling DCI with db13373.

    The cells were fixed with cold 100% methanol (10min, 4℃) and blocked in 1% BSA/10% normal goat serum/0.3M glycine in 0.1% PBS-Tween 20 for 1h. The cells were then incubate with db13373 (1:100) at room temprature for 1h, followed by a further incubation at room temperature for 45min with Goat Anti Rabbit lgG (H+L)-AF488 (db10005, shown in green). Nuclear DNA was labeled in blue with DAPI.

    Control: Secondary antibody only.
订购信息
  • Package Price (RMB)
  • 10μL 398
  • 20μL 698
  • 50μL 1398
  • 100μL 2398
  • 货期:现货
For research use only. Not intended for diagnostic.