产品中心 Products Center
Cytokeratin 17 (DGR16018) Rabbit mAb

Product Name : Cytokeratin 17 (DGR16018) Rabbit mAb

Cat.No.: db14214

Synonyms : PC; K17; PC2; 39.1; CK-17; PCHC1

Application:

Reactivity : Human

Host species : Rabbit

Conjugation/Formulation:Un-conjugated

  • Background This gene encodes the type I intermediate filament chain keratin 17, expressed in nail bed, hair follicle, sebaceous glands, and other epidermal appendages. Mutations in this gene lead to Jackson-Lawler type pachyonychia congenita and steatocystoma multiplex. [provided by RefSeq, Aug 2008]
  • Immunogen A synthetic peptide of human Cytokeratin 17
  • Gene ID 3872
  • Swiss Prot Q04695
  • Synonyms PC; K17; PC2; 39.1; CK-17; PCHC1
  • Reactivity Human
  • Application WB, IHC-P, ICC/IF, FC, IP
  • Recommended dilution WB: 1:1000
    IHC-P: 1:100-1:200
    ICC/IF: 1:100-1:200
    FC: 1:20-1:50
    IP: 1:20
  • Calculated MW 48 kDa
  • Observed MW 48 kDa
  • Host species Rabbit
  • Clonality Monoclonal
  • Clonality No. DGR16018
  • Isotype IgG
  • Purity Affinity Purification
  • Conjugation Un-conjugated
  • Storage/Stability Store at -20°C. Supplied in 50mM Tris-Glycine(pH 7.4), 0.15M NaCl, 40% Glycerol, 0.01% sodium azide and 0.05% BSA. Stable for 12 months from date of receipt.
  • Western blot analysis of extracts from HeLa cells using db14214 at 1:1000.
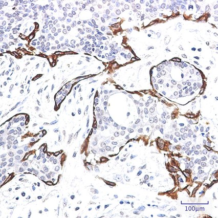
  • Immunohistochemical analysis of paraffin-embedded human breast cancer using db14214 antibody.
  • Immunofluorescence analysis of HeLa cells labelling Cytokeratin 17 with db14214.

    The cells were fixed with 4% PFA (10min, RT) followed by treatment with 0.1% Triton X-100 (10min, RT), and blocked in 1% BSA/10% normal goat serum/0.3M glycine in 0.1% PBS-Tween 20 for 1h. The cells were then incubate with db14214 (1:100) at room temprature for 1h, followed by a further incubation at room temperature for 45min with Goat Anti Rabbit lgG (H+L)-AF488 (db10005, shown in green). Nuclear DNA was labeled in blue with DAPI.

    Control: Secondary antibody only.
订购信息
  • Package Price (RMB)
  • 10μL 398
  • 20μL 698
  • 50μL 1398
  • 100μL 2398
  • 货期:现货
For research use only. Not intended for diagnostic.