产品中心 Products Center
CAB39 (DGR34247) Rabbit mAb

Product Name : CAB39 (DGR34247) Rabbit mAb

Cat.No.: db14814

Synonyms : MO25; CGI-66

Application:

Reactivity : Human, Mouse, Rat

Host species : Rabbit

Conjugation/Formulation:Un-conjugated

  • Background Component of a complex that binds and activates STK11/LKB1
  • Immunogen A synthetic peptide of human CAB39/MO25
  • Gene ID 51719
  • Swiss Prot Q9Y376
  • Synonyms MO25; CGI-66
  • Reactivity Human,Mouse,Rat
  • Application WB, IHC-P, ICC/IF, FC
  • Recommended dilution WB: 1:2000-1:20000
    IHC-P: 1:100
    ICC/IF: 1:100-1:200
    FC: 1:1000
  • Calculated MW 40 kDa
  • Observed MW 39 kDa
  • Host species Rabbit
  • Clonality Monoclonal
  • Clonality No. DGR34247
  • Isotype IgG
  • Purity Affinity Purification
  • Conjugation Un-conjugated
  • Storage/Stability Store at -20°C. Supplied in 50mM Tris-Glycine(pH 7.4), 0.15M NaCl, 40% Glycerol, 0.01% sodium azide and 0.05% BSA. Stable for 12 months from date of receipt.
  • Western blot analysis of extracts from HeLa cells using db14814 at 1:5000.
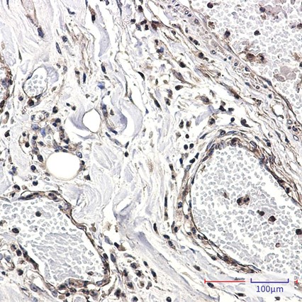
  • Immunohistochemical analysis of paraffin-embedded human Cholangiocarcinoma using db14814 antibody.
  • Western blot analysis of CAB39/MO25 in mouse kidney, rat lung lysates using CAB39 antibody(1:1000 diluted)
  • Western blot analysis of CAB39/MO25 in Hela, A549, HL-60, U2OS, U87-MG lysates using CAB39/MO25 antibody(1:1000 diluted)
  • Immunofluorescence analysis of HeLa cells labelling CAB39 with db14814.

    The cells were fixed with cold 100% methanol (10min, 4℃) and blocked in 1% BSA/10% normal goat serum/0.3M glycine in 0.1% PBS-Tween 20 for 1h. The cells were then incubate with db14814 (1:100) at room temprature for 1h, followed by a further incubation at room temperature for 45min with Goat Anti Rabbit lgG (H+L)-AF488 (db10005, shown in green). Nuclear DNA was labeled in blue with DAPI.

    Control: Secondary antibody only.
订购信息
  • Package Price (RMB)
  • 10μL 398
  • 20μL 698
  • 50μL 1398
  • 100μL 2398
  • 货期:现货
For research use only. Not intended for diagnostic.