产品中心 Products Center
cAMP Protein Kinase Catalytic subunit (DGR20464) Rabbit mAb

Product Name : cAMP Protein Kinase Catalytic subunit (DGR20464) Rabbit mAb

Cat.No.: db14832

Synonyms : PKACA; PPNAD4

Application:

Reactivity : Human, Mouse, Rat

Host species : Rabbit

Conjugation/Formulation:Un-conjugated

  • Background This gene encodes one of the catalytic subunits of protein kinase A, which exists as a tetrameric holoenzyme with two regulatory subunits and two catalytic subunits, in its inactive form. cAMP causes the dissociation of the inactive holoenzyme into a dimer of regulatory subunits bound to four cAMP and two free monomeric catalytic subunits. Four different regulatory subunits and three catalytic subunits have been identified in humans. cAMP-dependent phosphorylation of proteins by protein kinase A is important to many cellular processes, including differentiation, proliferation, and apoptosis. Constitutive activation of this gene caused either by somatic mutations, or genomic duplications of regions that include this gene, have been associated with hyperplasias and adenomas of the adrenal cortex and are linked to corticotropin-independent Cushing's syndrome. Alternative splicing results in multiple transcript variants encoding different isoforms. Tissue-specific isoforms that differ at the N-terminus have been described, and these isoforms may differ in the post-translational modifications that occur at the N-terminus of some isoforms. [provided by RefSeq, Jan 2015]
  • Immunogen A synthetic peptide of human cAMP Protein Kinase Catalytic subunit
  • Gene ID 5566
  • Swiss Prot P17612
  • Synonyms PKACA; PPNAD4
  • Reactivity Human,Mouse,Rat
  • Application WB, IHC-P, ICC/IF, FC, IP
  • Recommended dilution WB: 1:5000-1:50000
    IHC-P: 1:200-1:500
    ICC/IF: 1:100-1:200
    FC: 1:50-1:100
    IP: 1:50
  • Calculated MW 41 kDa
  • Observed MW 41 kDa
  • Host species Rabbit
  • Clonality Monoclonal
  • Clonality No. DGR20464
  • Isotype IgG
  • Purity Affinity Purification
  • Conjugation Un-conjugated
  • Storage/Stability Store at -20°C. Supplied in 50mM Tris-Glycine(pH 7.4), 0.15M NaCl, 40% Glycerol, 0.01% sodium azide and 0.05% BSA. Stable for 12 months from date of receipt.
  • Western blot detection of cAMP Protein Kinase Catalytic subunit in K562,C6,3T3,Hela cell lysates using cAMP Protein Kinase Catalytic subunit antibody(1:1000 diluted).
  • Western blot analysis of extracts from HeLa,MCF-7 cells using db14832 at 1:5000.
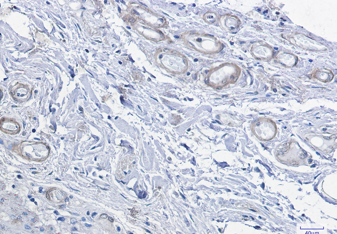
  • Immunohistochemical analysis of paraffin-embedded human colon cancer using db14832 antibody.
  • Immunofluorescent analysis of HeLa cells using db14832 antibody (green), and DAPI (blue).
订购信息
  • Package Price (RMB)
  • 10μL 398
  • 20μL 698
  • 50μL 1398
  • 100μL 2398
  • 货期:现货
For research use only. Not intended for diagnostic.